A mellkasi aorta sérülése a traumatológia egyik legsúlyosabb fejezetét alkotja. Nyílt és transmuralis aortasérülés helyszíni halált okoz, a mellkasi aorta tompa sérülése azonban gyors szállítással, diagnosztikával és megfelelő taktikával az esetek egy részében eredményesen kezelhető. Az aorta tompa sérülése polytrauma része, a beteg sorsát az aorta sérülésének súlyossága, a társsérülésekkel együtt jelentősen befolyásolja. A prioritások meghatározása alapján dönthetünk a kezelés mikéntjéről és ütemezéséről. Az azonnali, a subacut és a konzervatív kezelés lehetőségei változatosak, alkalmazásuk kiválasztása nagy tapasztalatot és megfelelő, egyénre szabott terápiás terv követését teszi szükségessé. A kórkép változatossága egységes vezér - fonal kialakítását nehezíti, ezért fontosnak tartjuk saját tapasztalataink összefoglalását és a vonatkozó irodalom áttekintését.
Érbetegségek: 2025/1. 5-14. oldal
KULCSSZAVAK
mellkasi aorta, tompa sérülések, kezelési lehetőségek
Bevezetés
A mellkasi aorta tompa sérülései a motorizáció elterjedésével egyértelműen szaporodtak. A Biztonsági öv használata csökkentette a koponyasérülések számát, de a mellkas compressioja miatt a mellkasi aorta isthmicus szakaszának indirekt, intramuralis sérülése egyértelműen szaporodott. A modern képalkotó eljárások alkalmazásának köszönhetően az elváltozás korai felismerése is hozzájárult a korai diagnózis felállításához és egyúttal a társsérülések felismeréséhez. A kezelés módozatainak változásai az endovascularis eljárások terjedésével jelentősen kiszélesítették a megoldási lehetőségek spektrumát. Ezek eredményeképpen a rendelkezésre álló módszerek megválasztása is jelentős változáson ment át, ami szükségessé teszi azok javallatának és időzítésének szempontjait az érdeklődés középpontjába állítani.
Rövidítések: DSA- Digitalis Subtractiós Angiográfia, CTA – Computer Tomográfiás Angiográfia, PTX- Pneumothorax
1. ábra.
Autóbalesetben sérült 26 éves ffi. DSA felvétele 3 héttel a baleset után. Az isthmicus szakaszon álaneurysma ábrázolódott.
1. 26 éves ffi autóbalesetben utasként szenvedett el mellkasi zúzódást, bordarepedést és tüdő contusiót. A kiszélesedett mediastinum és kis mennyiségű mellkasi folyadékgyülem vetette fel isthmicus tompa aortasérülés lehetőségét, amit DSA vizsgálattal igazoltunk. Hypotenziv kezelés mellett keringése stabil, a mediastinum kiszélesedése és haematologiai statusa nem változott. 3 héttel a sérülést követően bal oldali thoracotomia útján aorto-aorticus Dacron grafttal, mesterséges keringés alkalmazása nélkül, interpositiot végeztünk (1.,2.,3. ábra).
2. ábra.
Az 1. ábrán bemutatott eset intraoperatív képe.

3. ábra.
A műtéti megoldás a sérült szakasz resectioja és aorto-aorticus graft interpositio volt. A graftot részben pleura lemezzel fedtük a tüdő letapadás meggátlása céljából.
2. 18 éves leány autóbalesetben máj és lép ruptura, mellkasi zúzódás, sorozat bordatörés és multiplex arckoponyatörések valamint agyrázkódás mellett isthmicus aortasérülést szenvedett el. DSA igazolta az isthmicus aorta traumás dissectioját, amely hypotenziv kezelés mellett progressiót nem mutatott. Melléksérüléseinek ellátását követően, 10 nappal a baleset után, 1999-ben, Magyarországon elsőként thoracalis stent graft beültetéssel fedtük le a sérült aortaszakaszt, a bal a. subclavia transpositioja nélkül. Az a. femoralis kis átmérője miatt az eszközt az a. iliaca communison át vezettük fel, kis extraperitonealis feltárást követően.
3. 14 éves fiú kerékpár baleset következtében szenvedett jobb supracondyler femur törést. Rtg vizsgálat során fedezték fel a femur osteosarcomáját. Mellkas CTA felvétel tisztázta az aorta descendens kp. szakaszán friss álaneurysma kialakulást. 7 nappal a baleset után stentgraft beültetést végeztünk transfemoralis úton. Ezután a jobb femur és térdízület resectiojára és titanium pótlására került sor.
4. ábra.
4. sorszámú betegünk DSA felvétele az isthicus aorta III. stádiumú tompa aorta sérülését mutatja.
4. 22 éves fiatal ffi motorbaleset során szenvedett el mellkasi zúzódást, ami a típusos szakaszon álaneurysma képződéssel társult. A diagnózist mellkas röntgenfelvételek és DSA biztosította. Felkartörés rögzítést követően stabil morfológiai állapotban, 20 nappal a sérülés után stentgraft beültetést végeztünk subclavia transpositio nélkül (4.,5. ábra).
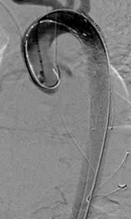
5. ábra.
A 4. ábrán mutatott eset megoldása stent graft beültetéssel.
5. 44 éves nőbeteg buszbalesetben mellkasi zúzódást, bal kulcscsonttörést, arccsonttörést és isthmicus aorta dissectiot szenvedett el. Hypotenzív kezelés mellett az aorta elváltozása stabil maradt, ezért töréseinek stabilizációja után került sor az a. subclavia transpositiojára és isthmicus stentgraft beültetésére.
6. 22 éves nőbetegben, ejtőernyős zuhanás következtében kialakult csigolyatörés fragmentuma okozott sérülést az aorta descendens alsó szakaszán, mintegy 3 cmrel a truncus coeliacus eredése felett. Gerinc-stabilizáló beavatkozás után a balesetet követő 10. napon került sor transfemoralis úton, rövid, borított stent beültetésére thoracoabdominalis positioban.

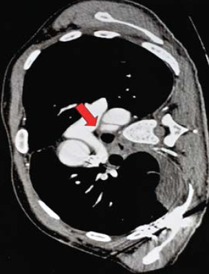
6. ábra.
7. sorszámú betegünk CTA vizsgálata multiplex gerinc, borda és jobb oldali acetabulum törés mellett kialkult isthmicus aorta intima sérülését mutatja.
7. 32 éves férfi autóbaleset okozta koponyaűri és arcüregi vérzéssel, agyödémával, kétoldali pleuralis és mediastinalis folyadékgyülemmel, PTX és hasi szabad levegővel, máj és lép körüli kevés véres folyadékkal, felső thoracalis és lumbalis csigolya és jobb lapockatöréssel, jo. acetabulum töréssel, femur luxatioval, kiterjedt mellkas és hasfali subcutan emphysemával, intubálva eszméletlen állapotban került felvételre. Neurologiai statusának rendeződése, mellkasi sérüléseinek ellátása és fracturáinak műtéti rögzítése után, 16 nappal a sérülés követően, a. subclavia transpositiot elvégezve, isthmicus stentgraft beültetés történt. A bal lapockatörés után kialakult dorsalis septicus haematomája 2 hónapos kezelés után gyógyult (6.,7.,8. ábra).

7. ábra.
Előző ábrán bemutatott intima sérülés localis expandáló álaneurysma képződéshez vezetet.

8. ábra.
A gerinc és bordatörések stabilizálása után a sérült aorta szakaszt endografttal fedtük le. Az ábrán jól látható a stent graft nitinol váza.
8. 52 éves férfi alkoholos állapotban autó balesetben, utasként kétoldali sorozat bordatöréssel, sternum fracturával, a bal lumbalis csigolyák processus transversusainak törésével, tüdőzúzódással, légmellel, kétoldali mellkasi folyadékgyülemmel, medence- és combcsont töréssel, traumás csípőficammal és tompa aortasérüléssel, géppel lélegeztetve került felvételre. Mellkasi instabilitasa azonnali mellkas-sebészeti beavatkozást igényelt. Kiterjedt mediastinalis és pleuralis vérgyüleme miatt elsőként multidisciplinaris döntés alapján, felvétele napján az isthmicus traumás aorta dissectio ellátását stentgraft beültetéssel végeztük el. A beteg 5 hetes kórházi ápolás után, stabil állapotban került rehabilitatiora.
9. ábra.
Kerékpárját toló beteg autógázolás áldozataként sérült. Agyrázkódást szenvedett. Lumbalis gerincsérülését, lábszártörését és az aorta descendens tompa sérülését CTA igazolta.
9. 40 éves férfit kerékpárosként autó gázolt el. Eszméletlen állapotban, intubálva, jobb lábszártöréssel, háti és lábszári lágyrész sérülésekkel került felvételre. CT vizsgálattal koponyaűri vérzés kizárható volt, mindkét pleura űrben jelentős folyadékmennyiséget, máj, vese és jobb tüdő contusiót, proximalis aorta descendens traumás dissectioját, valamint a Th XI-XII szinten discoligamentaris instabil gerincsérülést és következményes gerincvelő contusiót igazoltunk (9. ábra).

10. ábra.
A lumbalis gerinc rögzítése után az aorta laesio megoldását halasztottan végeztük.
11. ábra.
A stent graft beültetés során végzett DSA az aortasérülés okozta álaneurysmát mutatja.
12. ábra.
A stent graft beültetése után az aorta kontúrja kiegyenlített, az álaneurysma szájadéka lefedésre került.
Neurológiai vizsgálattal petyhüdt alsó végtagi paraplegia volt kimutatható. Tudata visszatért. 24 órán belül, keringési paramétereinek stabilizálása után, stent graft implantatiot, majd másnap ThX-LII segmentumban transpedicularis gerincrögzítést végeztünk (10.,11., 12. ábra). Paraplegia mellett lábszártörését egy héttel később lemezes osteosynthesissel oldottuk meg. A postoperativ szakban septicus szövődmények alakultak ki mind lágyrész sérüléseinek mind gerincműtétének területén. Hosszas antibiotikus kezelés mellett septicus állapota rendeződött. Parapareticus állapotban került vissza a beküldő kórházba rehabilitatio céljából. A betegek és ellátásuk adatainak összefoglalását I, II és III táblázat mutatja.
I. Táblázat.
A mellkasi aorta tompa sérülése- akut subakut esetek.

II. Táblázat.
A mellkasi aorta tompa sérülésének társsérülései.
Rövidítések: C:cervicalis, Th:thoracalis, L:lumbalis, T:Tüdő, M:mediastinum, St:sternalis, B:borda, H:hepar, L:lép, V:vese, F:felső végtag, A:alsó végtag.

III. Táblázat.
A mellkasi aorta tompa sérülésének ellátása.
Tompa mellkasi aortasérülés következtében kialakult krónikus álaneurysma miatt 24 beteget láttunk el. Ebben a betegcsoportban 4 nő és 20 férfi volt, életkoruk 38 és 64 év közötti, átlagosan 53 év volt. Az elváltozás felismerésére 16 - 28, középértékben 23 évvel a baleset után került felismerésre, rutin mellkas röntgen vizsgálat során. Egy, építkezés közben elszenvedett magasból esés kivételével, valamennyi beteg k ó r t ö r t é n e t é b e n közlekedési baleset miatt kialakult polytrauma állott. Az aorta isthmicus szakaszának subintimalis berepedését a korábbi diagnosztikai lehetőségek birtokában nem észlelték.

13. ábra.
25 évvel korábban autóbalesetet szenvedett nőbeteg álaneurysmája mellkas átvilágítás során került felismerésre. A 3D CTA a részben calcificalt elváltozást mutatja.

14. ábra.
Az előző képen bemutatott esetben az a. subclavia transpositioja után stent grafttal fedtük le a sérült aortaszakaszt. 3D CTA az ellenőrző vizsgálat a hybrid megoldás utáni helyzetet mutatja.
15. ábra.
32 évvel autóbaleset után az isthmicus aortán kialakult 12 cm átmérőjű aneurysma CTA képe.
16. ábra.
A hybrid beavatkozás után a 3D CTA kontrol az aneurysma teljes lefedését igazolta.
Betegeink kivizsgálásának alapját CT angio graphia képezte, 4 esetben végeztünk DSA-t is. A saccularis aneurysmák kivétel nélkül az aorta isthmicus szakaszán helyezkedtek el, méretük 6 és 12 cm között válta - kozott. 22 az aorta kisgörbületén, 2 körkörösen alakult ki. A bal arteria subclavia eredésénél kezdődő elváltozások fala jelentős meszesedést mutatott. Mellkasi panasza 3 betegnek volt, rupturát egyik esetben sem észleltünk. A felső mediastinum kontur változása 8 betegnél korábban is ismert volt, annak növekedése indokolta intézeti kivizsgálását. Korábban 2 esetben a saccularis aneurysma tangentialis resectioját végeztük, egy esetben direct aorta varrattal, egy esetben folt plasticával. 2 betegnél aorto-aorticus graft interpositiot végeztünk. Egy esetben femoro-femoralis bypasst használtunk a distalis testfél keringésének intraoperativ biztosítása érdekében. 20 beteg aneurysmáját stent graft beültetéssel oldottuk meg (13.,14.,15.,16. ábra). 18 esetben végeztünk bal oldali subclavio-caroticus transpositiot, 2 esetben a stentgrafttal lefedtük a bal a. subclavia eredését, amelynek klinikai következménye nem volt. A chronicus posttraumás álaneurysma miatt ellátott betegeink adatait a IV. táblázatban foglaltuk össze.

IV. Táblázat.
Chronicus posttraumás mellkasi álaneurysma miatt operált begeink adatainak összefoglaló táblázata.
Eredemények
Az acut - subacut, vagy chronicus fázisban általunk, tompa mellkasi sérüléssel kezelt betegek közül senkit sem veszítettünk el. Hat beteget más kórház traumatológiai osztályáról vettünk át, 3 került primeren intézetünkbe. A friss polytrauma miatt felvett betegek közül két esetben került sor 24 órán belül az aorta trauma miatt stentgraft beültetésre. Hét esetben 7 és 24 nap szélső értékekkel, átlagosan 11 nappal a baleset után került sor az aorta sérülés ellátására, 4 esetben nyitott műtéttel, nyolc esetben stentgraft beültetéssel. 3 beteg esetében gerincstabilizáló beavatkozás vált szükségessé a stentgraft beültetés előtt, két esetben a thoracolumbalis és egy esetben felső thoracalis szakaszon. Egy betegünk gerincvelő contusio miatt kialakult Tarlov 0 szintű paraplegiával érkezett és a gerinc stabilizáció után Tarlov I állapotban került vissza a beküldő intézetbe. 2 beteg súlyos mellkasi instabilitás miatt mellkassebészeti rekonstrukcióra szorult. 2 betegünknél septicus sebszövődmények alakultak ki, amelyek hosszas antibiotikum kezeléssel voltak uralhatók. Az ápolási napok száma 7 és 64 nap között váltakozott, átlagosan 24 nap volt, amit valamennyi betegnél, más intézetben, hosszas rehabilitáció követett.
A chronicus posttraumás álanerurysma, minden betegünk esetében az isthmicus szakaszon alakult ki. Négy betegnél nyitott műtétet és 20 esetben stent graft beültetést végeztünk. Súlyos szövődményt e betegcsoportban nem észleltünk. 2 esetben az inguinalis feltárás területén nyirokcysta miatt végeztünk punctiokat azok gyógyulásáig. A nyitott műtétek után az ápolási idő 7 és 14 nap között változott, míg a stent graft beültetés után betegeinket a 4-5. postoperativ napon kontroll CTA-t követően bocsátottuk haza.
Megbeszélés
A mellkasi aorta tompa sérülése súlyos, életet fenyegető elváltozás, amely nagy erejű erőbehatás következtében kialakuló polytrauma része és a koponyasérülés után a második leggyakoribb halálok, mintegy 15%-ban felelős a fatális kimenetelért. Az első esetet Vesalius közölte 1557-ben. Betege lóról esve szenvedte el az aorta rupturát (1). Előfordulási aránya a National Trauma Data Bank adatai szerint, 1.1 millióból 3114, ami 0.3%-nak felel meg. Nagy gyűjtő statisztikák szerint e sérült csoportban a férfi–nő arány mintegy 70-30%. Gyermekkorban ritkább, és az életkor előre haladtával számuk növekvő tendenciát mutat (2). Békeidőben az esetek túlnyomó többségében közlekedési baleset okozza a tompa aorta sérülésével járó traumát, de a motorizáció háborús körülmények között is jelentősen hozzájárult a komplex sérülésként keletkező aorta rupturához (2,3,4). A frontális ütközés kevésbé, de oldalirányú erőbehatás jelentősen fokozza az aorta sérülés esélyét, relatíve kisebb sebességű ütközés esetén is. Egyes esteket hátulról ráfutásos ütközés során észleltek (3). A biztonsági öv használata csökkentette az aorta tompa sérülését, míg a légzsák alkalmazása kevésbé befolyásolta (3,5). A mellkasi aorta sérülése mintegy 80-85 %-ban helyszíni halálozással jár, de azok közül is, akik a szállítást túlélik, a szükséges kivizsgálás során, beavatkozás esélye nélkül meghalnak (1). Gépjármű ütközés okozza a sérülést mintegy 70, gyalogos gázolás 17, motorkerékpár baleset 8, magasból esés 4%-ban, de a mellkas kompressziója, esetleg robbanás is okozhatja. Az utóbbi években a gyalogos gázolással összefüggő tompa aorta sérülések száma növekszik (6). Az oldalirányú ütközés okozta tompa mellkasi aorta sérülés hátterében lényegesen gyakoribb, mint frontalis ütközés esetében. Míg előbbi Richens adatai szerint 132 eset feldolgozása alapján 44%-ban állt a sérülés hátterében, utóbbi aránya 19 %-ot tett ki. Anyagukban frontalis ütközésnél a sérültek 12 %-a használt biztonsági övet / légzsákot és 19 %-uk nem. Az aorta sérülés okaként a 30 km/óra sebesség feletti frontalis ütközés okozta deceleratiot említik, míg az oldalirányú becsapódásnál már 15 km/óra sebességnél is bekövetkezhet (3,4).
Az aorta tompa sérülésének mechanizmusa hátterében több faktor áll:
- az aorta isthmicus szakaszának eltérő szövettani szerkezete,
- Botallo vezeték általi rögzítettség,
- a mobilisabb aortaív, az aortaív elmozdulása,
- a hasi nyomás hirtelen robbanásszerű nyomásfokozódása,
- a gerinc és a mellkas csontos elemei között létrejövő kompresszió.
- Az aorta torziója következtében az aortafal rétegeinek berepedése jöhet létre (7).
Izolált tompa aortasérülés rendkívül ritka, szinte valamennyi esetet súlyos társérülések kísérnek. Frontális ütközés estében a súlyos koponya és agytrauma Arthurs és tsai anyagában 31 %-ban, súlyos hasi sérülés 29 %-ban fordult elő (2). Utóbbi a máj, lép, vese, bél, stb. és rekesz sérüléseit együtt vagy azok változatait jelentik. Halálos helikopter balesetek feldolgozása alapján Taneja és Wiegemann 84 esetből tompa sérülés okozta a fatális kimenetelt 88,1 %-ban. Bordatörés 73,8, koponyasérülés 51,2, arckoponyatörés 47,6, tibia 34,5, mellkas 32,1, medencetörés 31 %-ban fordult elő anyagukban. Agysérülést 61,9, tüdő-contusiot 60,7, májrepedést 47,6, szívsérülést 41,7, lép rupturát 32,1%-ban észleltek, míg az aorta sérülését 32,1%-ban regisztrálták (8). Gerincsérülés a mellkasi aorta tompa sérüléseivel együtt a cervicalis gerincen 26, a thoracolumbalis szakaszon 20 %-ot is elérhetnek (9). A szív egyidejű nyílt sérülése fatális kimenetelű, de contusioja túlélhető. Valamilyen mértékű szív zúzódás gyakori és növekvő számú kísérője az aorta tompa sérülésének, továbbá jelentősen hozzájárul a keringés instabilitásához. Aránya elérheti a 62%-ot (10).
A mellkasi aorta tompa sérülése a súlyos kísérő sérülésekkel együtt magas helyszíni halálozással jár.
Aránya elérheti a 80-85%-ot. Azok közül, akik elérték a kórházat, 4% a beérkezéskor, 19 %-a triage során vesztette életét, de 50%-uk meghal 24 órán belül (2,11). A kórházat elérő betegek a többszörös sérülés súlyosságának és várható kimenetelének megállapításához a nemzetközileg elfogadott ISS - Injury Severity Score adhat segítséget. A mellkasi aorta tompa sérülésének pontszáma, a társsérülésekkel együtt meghaladja a 35-ös pontszámot (2). Estera és mtsai 255 esetet felölelő anyagában az ISS 39 ± 11 volt (12).
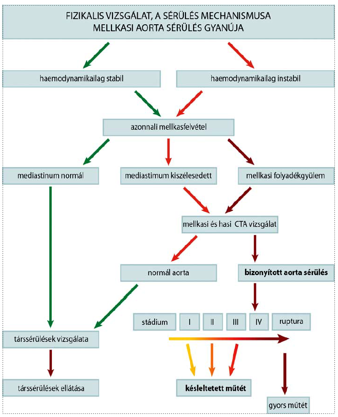
A diagnosztika alapját, a vitális funkciók klinikai és eszközös megítélésével egyidejűleg, a sérülések mikéntjének és súlyossági fokának megállapítása adja. Különös fontossággal a sérülés mechanizmusának ismerete és az élettel össze nem egyeztethető, illetve közvetlen életveszéllyel fenyegető elváltozások felismerése. A haemodynamikai instabilitás - aktív, nyílt vagy fedett vérzés, nyílt vagy fedett koponyasérülés, gerincvelő manifest, vagy annak sérülés veszélyével járó gerincssérülés, súlyos légzési deficitet okozó instabil mellkas sérülés – ezzel gyakran együtt járó tüdő, szív és aorta, illetve hasi szervek sérülésének kórismézése, alapvetően befolyásolja a kivizsgálás és ellátás megtervezését (13,14).
Az alapvető vizsgálatoknak ki kell terjednie:
- a beteg keringési, légzési állapotára – vérnyomás (nyomásgradiens a felső és alsó testfél között), szívfrekvencia, vérgáz analízis, vérkép, vércsoport meghatározása,
- koponyfelvétel, CT, neurologiai status, Glasgow coma scale, Tarlov scores megállapítása,
- a mellkas felvétel, a mellkas csontos vázának vizsgálata, borda és sternum törés felismerése. A mediastinum kiszélesedése és pleuralis folyadékgyülem felismerése, ami alapos gyanú jelet szolgáltathat a mellkasi aortasérülésre. A vizsgálat specificitása szerény, de negativ prediktív értéke 90 % feletti (15),
- a hasűri szervek sérülésének felismerése: rekeszizom, máj, lép, vese, bél és medencei erek vizsgálata. Hasűri és mellkas punctio, aktiv vérzés ill. stabil vérgyülem elkülönítésében nyújthat felvilágosítást. CT vizsgálattal számos értékes információhoz jutunk, ezért a mai gyakorlatunkban a képalkotó diagnosztika vezető módszerévé vált, ami gyakorlatilag teljesen kiváltotta a konvencionális aortográfiát, a cardio és transoesophagealis echocardigraphiát (16,17,18).
- a végtagi ér és idegképletek állapota, a csontos váz, gerinc, mellkas, medence és végtagi csontok és lágyrészek sérüléseinek megállapítása elengedhetetlen.
A mellkasi aorta sérülése mintegy 90 %-ban az isthmicus szakaszt érinti, 5-10 %-ban az aorta ascendens és descendens alsó szakaszán, illetve az aorta abdominalison fordul elő (14,15,18).
Az aorta tompa sérülése leggyakrabban a kisgörbületi oldalon okoz elváltozást. A mellkasi aorta sérülés alapos gyanúja esetén a kivizsgálás algoritmusát az V. táblázaton foglaltuk össze.
V. Táblázat.
A mellkas sérülésel együttjáró polytraumatizált beteg kivizsgálásának algorythmusa.
Pathologiai formái:
- subintimalis haematoma,
- intimalis laceratio - stabil kis kiterjedésű, - lassan növekedő álaneurysma képződés,
- az aorta subadventitialis transsectioja okozta (expandáló) álaneurysma,
- az aorta transmuralis laesioja, ami helyszíni elvérzést okoz.
Újabb classificatio szerint a változatok az alábbiak:
- az aorta külső kontúrja változatlan,
- intimalis berepedés az aorta külső kontúrjának változása nélkül, ami 10 cm-nél rövidebb aorta szakaszt érint,
- 10 cm-nél hosszabb aorta szakaszt érintő nagy intimalis laceratio thrombus és álaneurysma képződéssel,
- kontrasztanyag és vérkilépéssel járó expandáló álaneurysma képződés (19).
A mellkasi aorta tompa sérüléseinek ellátási elvei és technikái az utóbbi évtizedben jelentős változásokon mentek át.
A beavatkozás javallatának és időzítésének megtervezésében az alábbi szempontok mérlegelendők:
A tompa mellkasi aortasérülés ellátásának kizáró okai:
- élettel össze nem egyeztethető állapot (agonia) bármely okból,
- súlyos koponya és agysérülés, mély coma.
A mellkasi aorta tompa sérülése acut ellátásának kizáró okai:
- egyéb mellkasi és hasi szervek vérzésével járó állapotok, mint tüdő, máj, lép, vese laceratio, ami systemás heparinisatio alkalmazását kizárja,
- a tompa mellkasi aorta sérülésének I. és II. stádiuma, ami más szervek sérülésének elsődleges ellátását lehetővé teszi.
A mellkasi aorta sérülés acut ellátásának javallata:
- a fenti kizáró okok hiányában az aortasérülés okozta gyors progressziójú álaneurysma képződés, ami megrepedés veszélyével, áramlási akadályt okozó intima felgyűrődéssel, illetve folyamatos per diapedesim transmuralis vérzéssel jár, – III. stádiumú laesio.
- a mellkas csontos vázának és/vagy a tüdő súlyos sérülésének nyitott műtétét igénylő eseteiben az aorta tompa sérülés okozta jelentős méretű álaneurysmája esetleg egy ülésben való megoldást indokolhat. Igen nagy kockázatú beavatkozás.
A mellkasi aorta tompa sérülésének halasztott ellátása mai tudásunk szerint a legalacsonyabb mortalitással és szövődménnyel járó eljárás. A halasztott eljárás előfeltétele az aorta sérülésének átmeneti stabilizálása, hypotenzív kezelés fenntartásával. Amennyiben az intima laceratioja számottevő áramlási akadályt nem okoz, a transmuralis per diapedesim vérzés megszűnik és az álaneurysma nem növekedik, időt nyerhetünk az egyéb szervek sérülésének ellátására és az alapvető szervműködések rendezésére. A javult általános állapotban az aorta sérülésének ellátása jobb esélyekkel végezhető el.
A mellkasi aorta tompa sérülésének konzervatív kezelése abban az esetben merül fel, ha az aorta kontúrja és a mellkasi status nem, vagy minimálisan érintett és a naponként vagy később 2 naponként, illetve hetenként végzett ellenőrző vizsgálatok annak romlását nem mutatják. Pathologiai osztályozás szerint a subintimalis stabil haematoma, vagy minimális laceratio ( I és II stadium enyhe foka). A stabilitas elérését ellenőrzött hypotenziv kezelés segíti elő.
A kezdeti stabilitás nem jelenti feltétlenül az aorta állapotának hosszú távú stabilitását, amit chronicus állapotban évek, sőt évtizedek múlva észlelt traumás álaneuryma miatt operált eseteink is bizonyítanak. Arthus és mtsai 3114 beteget magában foglaló anyagában a betegek 68 % -a (1642) konzervatív kezelésben részesült, 28% (665) nyitott megoldáson esett át, és csupán 4% (95) esetében alkalmaztak endovascularis módszert. A halálozás 65, 19 és 18 % volt a vázolt ellátási módok sorrendjében. A magas nonoperativ szám azt is tükrözi, hogy a betegek jelentős része mindennemű aorta rekonstrukcióra alkalmatlan állapotban volt, míg mások nem igényeltek aktív beavatkozást (2).
A kezelési lehetőségek az utóbbi 2 évtizedben jelentős változáson mentek át. Korábban a nyitott sebészi módszer, az aorto-aorticus graft interpositio volt az aorta rekonstrukció egyetlen megoldási módja, amit vagy "calmp and go" technikával mesterséges distalis perfusio alkalmzása nélkül, vagy femoro-femoralis bypass segítségével végeztek. A két technika mind a mortalitas, mind a gerincvelő ischaemiás károsodása – paraplegia-paraparesis arányában jelentősen eltért. Estrera és mtsai közleményében a mesterséges keringés nélkül operált esetekben a halálozási arány 31, és distalis perfusioval 14% volt (20).
Az endovascularis technikák bevezetése, a sebészi trauma csökkentése révén kiszélesítette a beavatkozás javallatát, és első megoldásként kerülnek megfontolásra (11,17). Az endovascularis megoldás a halálozási arányt jelentősen csökkentette. Murad és mtsai által 139 tanulmány 7768 esetének feldolgozása alapján ez a nyitott megoldás 19, és a nonoperativ kezelés 46 %-os eredményével szemben 9 %-nak. Bizonyult (21). A nyitott műtétek mind az ischaemiás gerincvelő károsodás, mind a veseelégtelenség tekintetében is mintegy háromszorosan rosszabb eredményt mutattak az endovascularis beavatkozásokkal szemben (9 illetve 3 %). Az endovascularis megoldás előnyeit számos közlemény bizonyítja (17,18,21,22,23). Az időzítését illetően a késleltetet beavatkozások halálozási aránya mind nyitott, mind endovascularis megoldások után 19%-ról 4,3%-ra csökkent. A paraplegia előfordulása is mérséklődött (24). Estrera és mtsai 255 esetében a korai beavatkozás 17, míg a halasztott műtét 2 %-os mortalitással járt (12). A stentgraft beültetés idősebb betegcsoport és magasabb trauma súlyossági pontszám (Injury Severity Score) estében is sikerrel alkalmazható. Bár a halasztott endovascularis megoldás jelentős előrelépést eredményezett a tompa mellkasi aorta sérülések ellátásában, a módszer nem mentes a szövődményektől (2,23,25). Demetriades és mtsai közleményében 125 stent-graft implantatio során 25 betegnél 32, eszközzel összefüggő szövődményt észleltek. Közöttük 18 endoleak fordult elő, amelyekből 6 esetben nyitott műtét vált szükségessé (26). A percutan stent-graft beültetés szisztémás heparinisatio nélkül csökkentheti a beavatkozás szövődményeinek arányát, bár ez a megoldás még nem terjedt el széles körben (27).
Mind a csökkenő számban végzett nyitott műtéttel és szaporodó stent-graft beültetéssel kezelt betegek rendszeres utánkövetést igényelnek. Jóllehet a nyitott műtétek után hosszútávon a reinterventiok száma kisebb, napjainkban az endograftok alkalmazása az elsőszámú választandó modalitas a tompa mellkasi aortasérülések esetében (28).
Tanulságként az alábbiak vonhatók le:
- A mellkas sérüléssel járó polytraumatizált betegek halálozásának mintegy 15 %-ában a mellkasi aorta tompa sérülése tehető felelőssé.
- A mellkasi aorta tompa sérülése diagnózisának és patológiai stádiumának megállapításában a CT angiographia élvezi a prioritást.
- Amennyiben az aorta elváltozás, illetve annak progressziója beavatkozást indokol, azt lehetőleg az állapot stabilizálása után, halasztottan célszerű stentgraft beültetéssel megoldani.
- A betegek állapota bármely beavatkozás után rendszeres CT vizsgálattal követendő az esetleges késői szövődmények felismerése érdekében.
- Azon esetek, amelyek primeren konzervatív kezelésben részesültek akár minimális, akár fel nem ismert aorta laesioval, nagy erejű mellkasi erőbehatást - elsősorban közlekedési balesetet követően, évenkénti mellkas átvilágítással, gyanú esetén CTA vizsgálattal ellenőrzendők. Beavatkozást igénylő posttraumás álaneurysma évek, évtizedek után is kialakulhat, mint azt beteganyagunk is bizonyítja.
- Trauma centrumok nem nélkülözhetik a modern diagnosztikai és endovascularis technikákat.
Irodalom
- Vesalius A., Bonetus T. Sepulchretum sive anatomia practica ex cadaveribus morbo denatis. Sect 2. Geneva, Switzerland: 1700; 290.
- Z. M., Starnes B. W., Sohn V. Y., Singh N., Martin M. J., Andersen C. A. Functional and survival outcomes in traumatic blunt thoracic aortic injuries: an analysis of the National Trauma Databank. Journal of Vascular Surgery. 2009;49(4):988 994. doi: 10.1016/j.jvs. 2008.11.052.
- Richens D, Kotidis K, Neale M, Oakley C, Fails A. Rupture of the aorta following road traffic accidents in the United Kingdom 1992 1999. The results of the cooperative crash injury study. Eur J Cardiothorac Surg 2003; 23:143 8
- Weninger P, Hertz H. Factors influencing the injury pattern and injury severity after high speed motor vehicle accident—a retrospective study. Resuscitation. 2007 Oct; 75(1):35-41.
- Brasel KJ, Quickel R, Yoganandan N, Weigelt JA. Seat belts are more effective than airbags in reducing thoracic aortic injury in frontal motor vehicle crashes J Trauma. 2002 Aug;53(2):309-12; discussion 313.
- Burkhart HM, Gomez GA, Jacobson LE, Pless JE, Broadie TA. Fatal blunt aortic injuries: a review of 242 autopsy cases. J Trauma. 2001;50:113-5.
- de Mestral C, Dueck AD, Gomez D, Haas B, Nathens AB. Associated injuries, management, and outcomes of blunt abdominal aortic injury. J Vasc Surg. 2012 Sep; 56(3):656-60. doi: 10.1016/j.jvs. 2012.02.027.
- Taneja N, Wiegmann DA. Analysis of injuries among pilots killed in fatal helicopter accidents. Aviat Space Environ Med. 2003 Apr;74(4):337-41.
- Williams JS1, Graff JA, Uku JM, Steinig JP Aortic injury in vehicular trauma. Ann Thorac Surg. 1994 Mar; 57(3):726-30
- Kram HB, Appel PL, Shoemaker WC Increased incidence of cardiac contusion in patients with traumatic thoracic aortic rupture. Ann Surg. 1988 Nov; 208(5): 615 618
- Fox N, Schwartz D, Salazar JH, Haut ER, Dahm P, Black JH, Brakenridge SC, Como JJ, Hendershot K, King DR, Maung AA, Moorman ML, Nagy K, Petrey LB, Tesoriero R,Scalea TM, Fabian TC. Evaluation and management of blunt traumatic aortic injury: a practice management guideline from the easternassociation for the surgery of trauma. J Trauma Nurs. 2015 Mar- Apr;22(2):99-110.
- Estrera AL, Gochnour DC, Azizzadeh A, Miller CC 3rd, Coogan S, Charlton-Ouw K, Holcomb JB, Safi HJ. Progress in the treatment of blunt thoracic aortic injury: 12-year single-institution experience. Ann Thorac Surg. 2010 Jul;90(1):64-71.
- Neschis DG, Moainie S, Flinn WR, Scalea TM, Bartlett ST, Griffith BP. Endograft repair of traumatic aortic injury-a technique in evolution: a single institution’s experience. Ann Surg. 2009 Sep; 250(3):377-82.
- Nzewi O, Slight RD, Zamvar V. Management of blunt thoracic aortic injury. Eur J Vasc Endovasc Surg 2006; 31(1):18 27.
- Ekeh AP, Peterson W, Woods RJ, Walusimbi M, Nwuneli N, Saxe JM, McCarthy MC: Is chest x-ray an adequate screening tool for the diagnosis of blunt thoracic aortic injury? J Trauma; 2008 Nov; 65(5):1088-92.
- Samett EJ, Cho KJ, Siskin GP, Coombs DP, Krasny RM. Aortic Trauma Imaging Medscape Updated: May 22, 2013
- Fattori R, Russo V, Lovato L, Di Bartolomeo R. Optimal management of traumatic aortic injury. Eur J Vasc Endovasc Surg. 2009 Jan; 37(1):8-14.
- Demetriades D, Velmahos GC, Scalea TM, et al. Diagnosis and treatment of blunt thoracic aortic injuries: changing perspectives. J Trauma. 2008;64(6): 1415 1418
- Starnes BW, Lundgren RS, Gunn M, Quade S, Hatsukami TS, Tran NT, Mokadam N, Aldea G. A new classification scheme for treating blunt aortic injury. J Vasc Surg. 2012 Jan; 55(1):47-54.
- Estrera AL, Miller CC 3rd, Guajardo-Salinas G, Coogan S, Charlton-Ouw K, Safi HJ, Azizzadeh A: Update on blunt thoracic aortic injury: fifteen-year single-institution experience. J Thorac Cardiovasc Surg; 2013;145(3):154-8.
- Murad MH, Rizvi AZ,Malgor R, Carey J, Alkatib AA, Erwin PJ, et al. Comparative effectiveness of the treatments for thoracic aortic transection. J Vasc Surg 2011; 53: 193 199. 15.
- Xenos, E.S., Abedi, N.N., Davenport, D.L., Minion, D.J., Hamdallah, O., Sorial, E.E. et al. Meta-analysis of endovascular vs open repair for traumatic descending thoracic aortic rupture. J Vasc Surg. 2008;48:1343 1351.
- Canaud L1, Alric P, Branchereau P, Joyeux F, Hireche K, Berthet JP, Marty-An C. Open versus endovascular repair for patients with acute traumatic rupture of the thoracic aorta. J Thorac Cardiovasc Surg. 2011 Nov;142(5):1032-7
- Pacini D1, Angeli E, Fattori R, Lovato L, Rocchi G, Di Marco L, Bergonzini M, Grillone G, Di Bartolomeo R. J Thorac Cardiovasc Surg. Traumatic rupture of the thoracic aorta: ten years of delayed management. 2005 Apr; 129(4):880-4
- Reich HJ1, Margulies DR1, Khoynezhad A Catastrophic outcome of de novo aortic thrombus after stent grafting for blunt thoracic aortic injury. Ann Thorac Surg. 2014 Dec; 98(6):e139-41.
- Demetriades D, Velmahos GC, Scalea TM, Jurkovich GJ, Karmy-Jones R, Teixeira PG et al. Operative or endovascular stent graft in blunt traumatic thoracic aortic injuries: results of an American Association for the Surgery of Trauma Multicenter Study. J Trauma 2008; 64(3):561.
- Garcia-Toca M, Naughton PA, Matsumura JS, Morasch MD, Kibbe MR, Rodriguez HE, Pearce WH, Eskandari MK Endovascular repair of blunt traumatic thoracic aortic injuries: seven-year single-center experience. Arch Surg. 2010 Jul; 145(7):679-83.
- Patel HJ, Hemmila MR, Williams DM, Diener AC, Deeb GM. Late outcomes following open and endovascular repair of blunt thoracic aortic injury. J Vas J Vasc Surg. 2011 Mar; 53 (3):615-20
Levelezési cím:
Prof. Dr. Dzsinich Csaba
e-mail: Ez az e-mail-cím a szpemrobotok elleni védelem alatt áll. Megtekintéséhez engedélyeznie kell a JavaScript használatát.
Érbetegségek: 2025/1. 5-14. oldal