A visceralis artériák aneurysmái ritkán fordulnak elő, gyakran tünetmentesek, vagy atípusos tünetekkel járnak, diagnózisuk sok esetben rendkívül nehéz, számos alkalommal csak célzott diagnosztikus módszerekkel sikerül. Utóbbi viszont azt feltételezi, hogy a beteget kivizsgáló és kezelő belgyógyász, radiológus és sebész ezen aneurysmák klinikumának ismeretében végzik munkájukat. A diagnosztikus és terápiás nehézségek ellenére a visceralis aneurysmák potenciális életveszélyt jelentenek, és az esetek egy részében korai elektív, ruptúra esetén pedig akut sebészeti ellátást igényebiek. A szerzők sikerrel operált, rupturált truncus coeliacus aneurysma-esetük kapcsán rövid áttekintést adnak a visceralis erek aneurysmáinak aetiologiájáról, tünettanáról, diagnosztikájáról és a terápiás lehetőségekről. Felhívják a figyelmet a különböző loka- lizációjú aneurysmák kezelésében megnyilvánuló különbségekre.
Érbetegségek: 1999/1. 13-17. oldal
KULCSSZAVAK
aneurysma, visceralis artériák, ruptúraveszély, célzott diagnosztika, sebészi kezelés
A visceralis aneurysmák ritkák: az összes aneurysmára vonatkoztatott előfordulási arányuk 1% alatt van. Az aneurysmák lokalizációja érdekes eloszlást mutat: a 4 "fő" artéria aneurysmája felelős a visceralis artériák aneurysmáinak 90%-áért, míg a másodlagos ("ág-") artériák adják a további 10%-ot (1) (1. ábra). Légritkábbak az a. mesenterica inferior-aneurysmák (2).

1. ábra.
A visceralis artériák aneurysmáinak gyakorisága.
"Fő" artériák:
A. L. - Arteria lienalis, A. H. - Arteria hepatica,
A. M. S. - Arteria mesenterica superior,
Tr. C. - Truncus coeliacus.
"Másodlagos" artériák:
Artériáé colicae
Artériáé gastricae
A. pancreaticoduodenalis
Egyéb ág-artériák.
A visceralis artériák aneurysmái többnyire a hatodik évtizedben, illetve ezután jelentkeznek. Ez alól két kivételt ismerünk: az a. lienalis aneurysmája már a 30. életévet követően is előfordulhat, az a. mesenterica superior mycoticus aneurysmája pedig típusosán az 50 éves életkor előtt jelentkezik (1).
Aetiologiájukat tekintve, a korábbi kizárólagos arterio- scleroticus, illetve mycoticus eredet-teóriák mellett ma már sokkal árnyaltabb a kép, és a különböző artériák esetében eltérő faktorok is szerepet játszhatnak. Az a. mesenterica inferior aneurysmák oly ritkák, hogy eredetükről csak teóriák ismeretesek, de mégis az arteriosclerosis tűnik a legvalószínűbb kiváltó oknak (3). Egyes szerzők az a. mesenterica inferior kezdeti szakaszának ane- urysmáját az infrarenalis aorta aneurysmájával hozzák összefüggésbe.
A kisebb mesenterica-ágak és az aa. gastricae valamint az aa. gastroepiploicae aneurysmáit 50%-ban congenitalisnak tekintik (4). A gyakoriságban következő (4%) truncus coeliacus-aneurysma kialakulásában a media-degeneráció és az arteriosclerosis tekinthető a legfontosabbnak, utóbbi esetben az aneurysma ténylegesen a poststenoticus dilatatio képében jelentkezhet (1,5).
A 6%-os gyakorisággal következő a. mesenterica superior tágulatainak létrejöttében fentiek mellett a fertőzés is szerepet játszhat, leggyakrabban endocarditist vagy septicaemiat követően (6).
A második leggyakoribb visceralis aneurysma, az a. he- patica aneurysmája kialakulásában az arteriosclerosis és a media degeneráció mellett a trauma is jelentős szerepet játszik. Ennek módja lehet közvetlen epigastrialis-jobb hypochondrialis trauma, vagy deceleratios sérülés. A rögzített máj gyakorlatilag nem képes elmozdulásra, míg a nagy sebességcsökkenés (ütközések) esetén az a. hepatica kis amplitúdójú, gyors, antero-posterior irányú elmozdulása intima-, esetleg mediaszakadáshoz vezethet. Az 1950-es és 60-as években a syphilis is fő kóroki tényezőként szerepelt (7), ma jelentősége már csak elméleti. Több szerző az Ehlers- Danlos syndromát is az előidéző tényezők közé sorolja.
A leggyakoribb az a. lienalis aneurysma (60%), (1), kialakulásában elsődleges tényezőnek a media-degeneratio (congenitalis formában a fibrodysplasia; Ehlers-Danlos) tekinthető bár egyes szerzők szerint az ismételt terhesség, és valószínűleg a portalis hypertensio is jelentős szerepet játszik (1,8).
Az aneurysmák incidenciájáról néhány érdekes adat: korábban már említettük, hogy a visceralis aneurysmák részesedése kb. 1%-a, az összes aneurysmát tekintve 100%-nak" Moore és mtsaí csaknem 20 000 boncolási jegyzőkönyvet áttekintve a leggyakoribbnak az a. lienalis-aneurysma előfordulását 0,098%-nak találták, ami azt jelenti, hogy a normál populációban kb. minden tízezredik egyénben található a. lienalis aneurysma (9). Egy másik tanulmányban az a. lienalis aneurysma incidenciáját azoknál a betegeknél, akiknél selectív visceralis angiographiát végeztek, 0,78%-nak találták. Ezeknek a betegeknek azonban már ismert vagy feltételezett artériás megbetegedése volt, emiatt készült az angiographia (10). Truncus coeliacus aneurysmát 1994-ig 48 esetben közöltek (5).
Esetismertetés
R. B. 69 éves férfibeteg 1996 októberében, előzetesen diagnosztizált, a flexura lienalisban elhelyezkedő colon car- cinomával, elektív műtét céljából került felvételre a Colchester General Hospital Sebészeti és Érsebészeti Osztályára. A műtét során az operatőr a vastagbél-tumor mellett két, diónyi májáttétet és a pericoecalis régióban kb. 6-800 ml- nyi, nem friss haematomát talált. Utóbbi eltávolítása után sem lokális, sem távoli vérzésforrást igazolni nem sikerült a hasüreg revisioja során. A haematómát kisebb csepleszvé- nából bekövetkezett korábbi vérzésnek tulajdonítva, az operáló kollega a műtétet folytatta, palliatív bal oldali hemicol- ectomiát végezve. A műtét komplikációmentesen zárult, és a beteg zavartalan postoperatív szak után, a 9. napon tünetmentesen, jó általános állapotban elhagyta a kórházat. A távozását követő 8. napon sürgősséggel került ujrafelvételre, közepes intenzitású epigastrialis-jobb bordaív alatti fájdalommal, sápadtan, verejtékezve, praeshockos-shockos állapotban. Tensioja 95/60 Hgmm, pulzusa 110/min volt. A fizikális vizsgálat során hasűri perforációra utaló jelet nem találtunk, és ezt az elvégzett RTG-vizsgálatok sem igazolták.
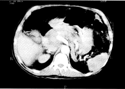
Pozitívum volt azonban az epigastrialis érzékenység (izomvédekezés nélkül) és a bélhangok hiánya. A hemicolectomia után, a távozás napján a beteg Hgb értéke 10,9 g/l volt, az újrafelvételkor 5,8 g/L A klinikai tünetek és a Hgb- érték ismeretében intenzív shock-ellenes folyadékterápiát és transfusiót kezdtünk. Tekintettel arra, hogy a beteg sem hae- matemesisről, sem melaenáról, illetve rectalis vérzésről nem számolt be, és a fentiekre utaló tüneteket a vizsgálat során sem találtunk, intraabdominalis vérzés gyanújával sürgős hasi UH-vizsgálatot kértünk, mely a has jobb felében, sub- hepaticusan, illetve a colon ascendens mentén több száz ml- nyi szabad hasűri folyadékot igazolt (Dr. Gould). Az intraabdominalis vérzés diagnózisával sürgős laparotomiához készültünk. Az előkészítés alatt az intenzív folyadékterápia és a transfusiók hatására a beteg haemodinamikailag stabilizálódott, s miután az elózó műtét során semmiféle potenciális vérzésforrást nem sikerült találni, a laparotomia előtt, a folyadékterápiát folytatva, sürgős CT-vizsgálatot végeztünk (dr. Gould). Ez egyértelműen kimutatta a vérzésforrást: meszes, aneurysmaticus truncus coeliacus, körülötte álaneurysma, hatalmas thrombussal. (2. ábra.)

2. ábra.
A felvétel középpontjában az aorta, az aortából kiinduló meszes, aneurysmaticus truncus coeliacus, és körötte a hatalmas álaneurysma.
A következő felvételen (3. ábra) még egyértelműbben látszik a képletek egymáshoz való viszonya, míg a 4. ábrán a truncus coeliacus már nem látható, csak az aorta keresztmetszete, és az átmérőjében ennél kb. háromszor nagyobb, hatalmas álaneurysma.
A pontos diagnózis birtokában sürgós thoracolaparotómiát végeztünk (dr. May). A truncus coeliacust felkeresve és az aortát a rekesz fölött kirekesztve, a truncus coeliacus-a. hepatica communis határán lévó sacciform aneurysmát resecaltuk és endoaneurysmorrhaphiát végeztünk. Interpositum beültetésére vagy bypassra nem volt szükség. A haematoma (1500 ml) kiürítése után gondos hasűri revisiot végeztünk, meggyőződtünk arról, hogy a máj keringése intact maradt, majd a thoracolaparotomia sebét mellkasi és hasűri drain hátrahagyásával zártuk.

3. ábra.
2 cm-rel distalisabb síkban készült CT-felvétel az aorta előtt szembetűnő a meszes, tágult truncus coeliacus (fehér), ettől jobbra (a felvételen balra) a thrombussal kitöltött álaneurysma.

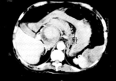
4. ábra.
További 2 cm-rel distalisabban készült felvétel. Az aorta keresztmetszete normális, az aortától jobbra a vena cava ínferiort is comprimáló, 8-10 cm átmérőjű álaneurysma.
A beteg a postoperatív szakban haemodinamikailag végleg stabil maradt, és a műtéti sebben kialakult MRSA (Methycillin Resistens Staph. Aureus ) -fertőzéstől eltekintve, egyéb komplikáció nélkül, a postoperatív 10. napon elhagyta a kórházat. 4 héttel, 6 hónappal és egy évvel a műtét után mind a truncus coeliacus-aneaurysma, mind a colon-tumor vonatkozásában tünet- és panaszmentes volt.
Megbeszélés
A visceralis artériák aneurysmái ritkák, a krónikus szakban gyakran tünetmentesek, illetve aspecifikus tünetekkel jelentkeznek. Sok esetben csak a ruptura miatt végzett sürgős műtét során kerülnek felismerésre, további jelentós számban csak kórbonctani diagnózisként, mellékleletként szerzünk tudomást a teljesen tünetmentes zsigeri artéria- aneurysmáról.
Bár a tünetek nem specifikusak, célszerű azokat az ane- aurysmák lokalizációja szerint tárgyalni. Általánosságban elmondható, hogy a hasi fájdalom, később az intraabdominalis vagy gastrointestinalis vérzés a vezető tünetek közé tartozik.
A truncus coeliacus-aneurysmák leggyakrabban post- prandialis fájdalommal hívják fel magukra a figyelmet (1). Bár az étkezés után jelentkező, kólikaszerű hasi fájdalom az a. mesenterica superior stenosisának is vezető tünete lehet, bármelyik diagnózis gyanúja esetén a szelektív visceralis angiographia elvégzendő', amely azonnal tisztázza a kórismét.
A gyakoriságban következő a. mesenterica superior-ane- urysma az esetek felében mint kisméretű (az aorta-aneurys- mához viszonyítva), érzékeny, pulzáló rezisztencia jelentkezik (1). Természetesen az aneurysma tapinthatósága a beteg alkatának és az aneurysma méretének is függvénye. A postprandialis fájdalom az arterioscleroticus eredetű ane- urysmák jellemzője, míg a mycoticus vagy a bakteriális en- docarditist követően kialakult tágulatok esetén ez egyáltalán nem vezető tünet. Az arteriosclerosis talaján kialakult ane- urysmák elmeszesednek, és így a natív hasi RTG-n is láthatóak, bár a pontos diagnózist ebben az esetben is csak an- giographiával állíthatjuk fel.
A 20%-ban előforduló a. hepatica-aneurysmák az esetek nagy részében symptomaticusak. Meglepő módon több mint 40%-ban a ruptura az első tünet (7). Az ezt megelőző stádiumban epigastrialis, jobb hypochondrialis fájdalom, icterus, haemobilia, esetleg haematemesis vagy melaena lehetnek a tünetek. Icterust és haemobiliát szinte kizárólag csak az int- rahepaticus aneurysmák okoznak. Fizikális vizsgálattal az a. hepatica tágulatai alig észlelhetőek, mivel rendszerint nem érik el a 2 cm-es nagyságot. Diagnózisukban a célzott visceralis, vagy még inkább a célzott tr. coeliacus-angio-graphía nyújthatja a legnagyobb segítséget (utóbbira intra- hepaticus aneurysma gyanúja esetén feltétlenül szükség van), bár 0,5-1 cm, vagy efölötti méret esetén már a hasi CT vagy NMR is egyértelmű diagnózist ad.
A leggyakoribb a. lienalis-aneurysmák kórismézése is nehéz. Ezek a tágulatok mintegy 50%-ban teljesen tünetmentesek, és ezért alig kerülnek felismerésre, esetleg más célból végzett natív hasi RTG-n a típusos helyen látható meszesedés hívhatja fel a figyelmet. Utóbbi esetben, vagy ha a beteg a bal hypochondriumban észlelt fájdalom miatt kerül kivizsgálásra, a hasi RTG és UH, szükség esetén a CT vagy NMR biztosítja a diagnózist, és angiographiára ritkán kényszerülünk. Az a. lienalis-aneurysma rupturája relative ritka (2%), viszont a 2,5 cm fölötti méret esetén ennek veszélye szignifikánsan nagyobb (11). Több szerző az a. lienalis aneurysmája esetén angiographiát csak a sebészi ellátásra kerülő esetekben javasol, a műtét technikai részleteinek megtervezéséhez (1, 8, 9, 11).
Amennyiben felállítottuk valamelyik visceralis artéria aneurysmájának a diagnózisát, a következő kérdés: műtét vagy a beteg nyomonkövetése. Akárcsak az aorta-aneurysmák esetében, a puszta diagnózis itt sem jelent egyértelmű műtéti indikációt.
Az irodalmi adatok alapján a műtéti javallatot az alábbiak képezik:
1. A. hepatica-aneurysma (40%-nál nagyobb spontán ruptura-arány!) (12)
2/a. Fertilis korban lévők nők a. lienalis-aneurysmája. A terhesség alatt diagnosztizált, 2,5 cm-nél kisebb a. lienalis- aneurysma továbbra is vita tárgya (1).
2/b. 2,5 cm, vagy ennél nagyobb méretű a. linealis-tágulat. 2/c. Symptomaticus, tehát minden bizonnyal "stretching" a. linealis-aneurysma. 3. A többi esetben műtét progresszív növekedés és/vagy fokozódó tünetek esetén jön szóba.
4. Értelemszerűen azonnali műtét indikált ruptúrára utaló tünetek esetén, tekintet nélkül a lokalizációra.
Intermedier kezelési megoldásként jön szóba a katéter- embolizáció. Ennek lehetőségei meglehetősen korlátozottak. Nem jöhet szóba, mint definitív megoldás, végartériák és az a. mesenterica superior esetében. Utóbbi esetben kizárólag az életet veszélyeztető progresszív vérzés esetén, gyakorlatilag csak az angiographia közben, életmentés céljából kerülhet sor rá, amit - mivel az a. mesenterica superior akut elzáródása az élettel összeegyeztethetetlen állapot - azonnali revascularisatiónak kell követnie.
A katéter-embolizáció létjogosultsága az a. hepatica tágulatai esetén egyértelműen bizonyított: haemobiliát okozó kis, intrahepaticus aneurysmák esetén definitív megoldásként szerepelhet (13).
Végül egy rövid áttekintés a lehetséges műtéti megoldásokról (a kérdés részletes tárgyalása e cikk keretei között, a terjedelmi korlátok miatt nem lehetséges).
A. lienalis:
- splenectomia (kiegészítve hosszú távú penicillin-V profilaxissal a későbbi OPSI-syndroma veszélye miatt),
- az aneurysma-zsák kiiktatása (ligatura) és az a. linealis reimplantatioja (főleg proximalis elhelyezkedésű aneurysmák esetén van létjogosultsága).
A. hepatica:
- ha az aneurysma az a. gastroduodenalistól és az a. gast- rica dextra eredésétől proximalisan van: egyszerű ligatura, előzetes kompresszióval meggyőződve arról, hogy a kolla- teralis keringés útján a máj keringése megfelelő,
- distalisabb aneurysma esetén: resectio, v. saphena in- terpositummal, vagy (amennyiben technikailag lehetséges) endoaneurysmorrhaphia, szükség esetén vénafolt-plasztiká- val kiegészítve.
A. mes. sup.:
- endoaneurysmorrhaphia, ha technikailag kivitelezhető,
- aorto-mesenterialis saphena-bypass, az aneurysma-zsák ligatűrákkal történő kirekesztése után. Utóbbi esetben az aneurysma el is távolítható, ha a műtét során úgy találjuk, hogy a bypasst komprimálja (14).
Tr. coeliacus:
- endoaneursmorrhaphia
- aneurysma-resectio és revascularisatio (aorta-coeliaca- lis saphena-bypass) (5, 14).
Feltétlenül megemlítendő, hogy endoaneurysmorrhaphia csak saccularis aneurysmák esetén végezhető.
Összefoglalás
A visceralis aneurysmák ritkák, de a ruptura lehetősége miatt potenciális életveszélyt jelentenek. Diagnózisuk gyakran nehéz, részben a relatív tünetmentesség, részben az atipusos tünetek miatt. Diagnosztikai fegyvertárunkban továbbra is a legspecifikusabb módszer a szelektív angiographia, bár egyes esetekben ultrahanggal, CT-vel, vagy NMR- rel is pontos diagnózishoz juthatunk. Műtéti megoldás ajánlott az a. hepatica aneurysmái esetén, az a. linealis tágulatainak jelentős százalékában, valamint a többi artéria progresszíven növekvő, tüneteket okozó aneurysmája esetén, mérettől függetlenül. Minden más esetben a betegek nyomonkövetése, rendszeres kontrollja javasolt, UH-vizsgálat- tal egybekötve, 3, 6, esetleg 12 hónapos időközönként.
Köszönetnyilvánítás
A szerzők ezúton fejezik ki köszönetüket dr. 7. Gould konzultáns radiológusnak, akinek segítsége felbecsülhetlen értékű volt a pontos diagnózis felállításában.
Megjegyzés
A szerző állandó munkahelye: DOTE I. Sebészeti Klinika, Debrecen, Pf. 27. 4012. A közleményben szereplő műtét időpontjában a Colchester General Hospitál Sebészeti és Érsebészeti Osztályán dolgozott. (Colchester General Hospitál, Turner Road, Colchester, Essex, C04 5JL, Anglia.)
Irodalom
- Clyne, C. A. COperations for splenic artery aneurysm. In: Surgical management of vascular disease Eds.: Bell, P. R. F., Jamieson, C. W., Ruckley, C. V., W. B. Saunders, London, 1992. 883-888.
- McNamara, M. F.y Baks hi, K. R.: Mesenteric artery aneurysms. In: Aneurysms, diagnosis and treatment. Eds.: Ber- gan, J. J., Yao, J. S. T., Grune & Stratton, New York, 1982, 385.
- Graham, L. M., Hay; M. R. R., Cho, K. J., Stanley, J. C: Inferior mesenteric artery aneurysms. Surgery 97: 158. (1985)
- McNamara, M. F., Grinska, L. B.: Superior mesenteric artery branch aneurysms. Surgery 88:625. (1980)
- Graham, L. M.y Stanley, J. C., Whitehouse W. M. et al: Co- eliac artery aneurysms. J. Vase. Surg. 2:757. (1985)
- De Bakey, M. E.y Coo ley, D. A.: Successful resection of mycotic aneaurysms of superior mesenteric artery. Ann. Surg. 19:202. (1953)
- Welch, G. H.y Andersony J. R.y Liebermann, D. P.: Aneuryms of the hepatic artery: a report of three cases. J. R. Coll. Surg. Edinb. 31:91. (1986)
- Trastek, V. F.f Pairolero, P. C.y Joyce, ./. W., Hoilier, L H.y BernatZy P. E.: Splenic artery aneurysms. Surgery 91: 694. (1982)
- Moore, W. S., Guida, P. M.y Schumacher, H.: Splenic artery aneurysms. Bull. Soc. Int. Chir. 29:210. (1970)
- Stanley, J. C.y Fry, W. J.: Pathogenesis and clinical significance of splenic artery aneurysms. Surgery 76:898. (1974)
- Stanley, J. C. Wakefield, T. W" Graham, L M., Whitehouse, W. M.y Zelenock, B. and Lindenauer, S. M.: Clinical importance and management of splanchnic artery aneaurysms. J. Vase. Surg. 3:836. (1986)
- Stanley, J. C.y Thompson, N. W., Fry, W. J.: Splanchnic artery aneurysms. Arch. Surg. 101:689. (1970)
- Goldblatt, M.y Rad, F. F.y Goldin, R. A. et al: Percutaneous embolisation for the management of hepatic artery aneurysms. Gastroenterology 73:1142. (1977)
- Dzsinich Cs.: A visceralis és renalis artériák megbetegedései. In: Angiologia. Szerk.: Szabó Z., Solti F., Nemes A., Medicina, Budapest, 1990. 197-192.
Dr. Papp László
The Royal Infirmary of Edinburgh,
Vascular Surgery Unit
Lauriston Place, Edinburgh
EH3 9YW, Scotland
Érbetegségek: 1999/1. 13-17. oldal