A nagy intenzitású fókuszált ultrahang (HIFU) kezelés jelentheti az áttörést a visszértágulatok és a vénás reflux kezelésében. A módszer teljesen non-invazív, a bőr felszínére helyezett kezelőfej fókuszált ultrahang energiát sugároz az alatta fekvő kezelendő vénára. Minden kezelési ciklus során rizsszemnyi területen melegszik fel a szövet mintegy 85-90 °C-ra. Néhány páciensnél kis mennyiségű helyi érzéstelenítő adására lehet szükség a hőhatás területén. A műtét során nem szükséges a véna megszúrása, egyáltalán semmit nem kell bevezetnünk a visszérbe. Nincs szükség műtőre, miután az érbe nem hatolunk be, ezért a kezelés egyszerű kezelőhelyiségben is elvégezhető. A páciensek a kezelést követően azonnal teljesen mobilisak, nincs szükség trombózis megelőző kezelésre. Az elvégzett beavatkozások száma jelenleg még alacsony, de az már látszik, hogy a technológia működik és elfogadható a páciens számára.
Érbetegségek: 2021/1. 9-12. oldal
KULCSSZAVAK
varicositas, HIFU, ultrahang energia, noninvazív kezelés
Bevezetés
Egy évtizeddel korábban - de ma is sok helyen - a visszértágulatok kezelésének szokásos módja a nyitott műtéti eljárás, általános érzéstelenítés (altatás, gerincközeli anesztézia) alkalmazásával. A nyitott (vagy hagyományos) műtét során lekötik és átvágják a fő vénatörzset a mély - vénába ömlés előtti szakaszán, majd eltávolítják (kihúzzák) a tágult, elégtelen fő vénatörzset és kis metszésekből eltávolítják a látható tágult oldalágakat is. A hagyományos műtét hivatalos nevei: crossectomia, stripping és phlebectomia vagy varicectomia.
A műtét megszünteti az összeköttetést a felületes és a mélyvénás rendszer között, eltávolítja az elégtelen és kitágult vénatörzseket, így orvosolja a probléma okát. Mivel a vénák a szervezet kötőszövetének részei, gyógyulásuk során hajlamosak ismét kifejlődni, visszanőni, ezt a folyamatot nevezik érújraképződésnek, neovaszkularozációnak. Az újonnan képződött vénák, melyek a sebészileg eltávolított ereket helyettesítik, nem tartalmaznak vénabillentyűket, tehát már kezdettől fogva elégtelenek (1,2).
A múlt század kilencvenes éveinek végén került bevezetésre az endovénás termoablációs (visszerek belsejében, hővel végzett) műtéti eljárás a hagyományos műtét helyettesítésére, így a visszerek sebészetében is elkezdődött a váltás a nyitott műtétekről az endovénás megoldásokra (3). Az endovénás műtét elve az elégtelen vénaszakaszok hővel történő lezárása, melyet a véna belsejébe vezetett katéter segítségével végzünk el.
Kezdetben azt gondolták, hogy az elzáródás oka az érfal kollagénrostjainak és az ér belső endotél rétegének károsodása (4-6), míg a későbbi kutatások szerint a teljes érfal sejthalála eredményezi a tartós elzáródást és hegesedést (7,8). Az endovénás műtét során a kezelendő vénát a lágyéktól legtávolabbi szakaszon bőrön keresztül szúrjuk meg, az operáló katétert lentről felfelé vezetjük fel. A hőhatást először rádiófrekvenciás energiával hozták létre (9), ezt követte a lézer (10), a forró gőz (11), majd a mikrohullámú energia (12).
Amennyiben az ér lezárásához hőt használunk, fájdalomcsillapítás céljából a katéter bevezetését követően az ér köré helyi érzéstelenítőt, úgynevezett tumeszcens oldatot adunk. A fő vénatörzs kezelése után az elégtelen összekötő ágak (perforansok) is kezelhetők endovénás termoablációs módszerrel (TransLuminal Occlusion of Perforators - TRLOP) (13), és a tágult oldalágak eltávolíthatók vagy hab injekcióval elzárhatók (hab szkleroterápia). Elterjedt a két ülésben végzett kezelés, azaz az endovénás műtét során csak az elégtelen fő vénatörzs lezárására kerül sor, a nyomáscsökkenés miatt az oldalágak kezdenek visszahúzódni, a megmaradt és panaszt vagy esztétikai problémát okozó tágulatokat pedig csak 3-6 hónappal később, egy második ülésben kezelik szkleroterápiával. 2013-ban az Egyesült Királyság Egészségügyi Hivatala (NICE) által kiadott klinikai útmutató szerint visszérbetegség kezelése esetén az elsőnek választandó módszer az endovénás termoabláció. Ezt az elvet fogalmazta meg azóta az USA és több nemzetközi érsebészeti társaság is ajánlásaiban (14).
Az elmúlt 20 évben a vénák kezelésével foglalkozó sebészek és az új eszközöket fejlesztő cégek kutatásának középpontjában a hőhatást nem alkalmazó (nem tumeszcens) módszerek álltak, hogy így kiküszöböljék a helyi érzéstelenítés által okozott kellemetlenséget. A legfontosabb nem tumeszcens módszerek: a hab szkleroterápia (15), a mechano-kémiai abláció (MOCA) (16) és a cyanoakrylát ragasztóval végzett műtét (17). Ennek ellenére nem sikerült igazi áttörést elérni a tumszecens módszerek dominanciájával szemben, valószínűleg azért, mert e módszerek esetében is endovénás kezelésről van szó.
Nagy intenzitású fókuszált ultrahang (HIFU)
A nagy intenzitású fókuszált ultrahang (HIFU) kezelés jelentheti az áttörést a visszértágulatok és a vénás reflux kezelésében. A módszer teljesen non invazív, a bőr felszínére helyezett kezelőfej fókuszált ultrahang energiát sugároz az alatta fekvő kezelendő vénára. A kezelőfejjel a bőrre kifejtett enyhe nyomás összenyomja a vénát, eltávolítva ezzel a vért a kezelendő területről, így a vér ott nem tud megalvadni és nem csökkenti a hőhatást. A terápiás ultrahangnyaláb a kezelendő vénát célozza, ezt segíti egy lineáris ultrahang kép, mely valós időben mutatja a szöveteket. A fókuszált ultrahang által keltett hőhatás pontosan behatárolt területen, a bőrtől távol keletkezik, melyet a valós idejű ultrahang kép vezérel. Minden kezelési ciklus során, rizsszemnyi területen melegszik fel a szövet mintegy 85-90 0C-ra. A hőhatás miatt néhány páciensnél kis mennyiségű helyi érzéstelenítő adására lehet szükség a hőhatás területén.

1. ábra.
A Sonovein HIFU készüléke működés közben - a vena saphena magna kezelése (Prof. Dr. Mark Whiteley engedélyével)
Miért jelenthet tehát a HIFU jelentős áttörést a visszértágulatok kezelésében a standard hőhatáson alapuló technikákkal szemben? A HIFU kezelés során az ultrahang a kezelendő vénát olyan hőmérsékletre melegíti fel, ami bizonyítottan a tágult véna tartós fibrotikus elzáródását, elhegesedését okozza. A műtét során nem szükséges a véna megszúrása, egyáltalán semmit nem kell bevezetnünk a visszérbe. Nincs szükség műtőre, miután az érbe nem hatolunk be, ezért a kezelés egyszerű kezelőhelyiségben elvégezhető.
A kezelés teljesen non-invazív, bár néhány páciens esetében kis mennyiségű helyi érzéstelenítő alkalmazására van szükség a kezelt véna körül. Mégis abban az esetben, ha helyi érzéstelenítőt adunk, annak mennyisége lényegesen kisebb, mint a katéteres endovénás műtétek során pumpával beadott tumeszcens helyi érzéstelenítő oldat mennyisége. Miután a vénába nem hatolunk be, a fertőzés és vérzés veszélye minimális, a kezelés nyugodtan alkalmazható tartós véralvadásgátlót használó páciensek esetében is.
A készülék által alkalmazott maximális energia minden impulzus során változik, a véna bőrtől való távolságától függ. A HIFU energiája fókuszált, egy energia-tölcsérként képzelhető el, mely a kezelőfejtől szélesen indul és a szövetekben 24 mm mélységben koncentrálódik. A bőrön átlépő energia sűrűségének olyannak kell lennie, hogy ne károsítsa magát a bőrt, ne okozzon égést. Minél mélyebben helyezkedik el a kezelt véna, annál nagyobb az energiatölcsér szája, annál nagyobb energia alkalmazható impulzusonként.

2. ábra.
(A) vena saphean magna ultrahang képe (fehér nyíl), az eret kevés helyi érzéstelenítő veszi körbe.
(B) HIFU kezelés alatt készült kép, ahol a visszaverődő ultrahang „fehér kereszt”-je látszik, a hangárnyékot a kezelt véna gőzbuborékjai produkálják (fehér nyíl).
(C) Közvetlen kezelés utáni kép a sikeresen kezelt VSM-ről. Figyeljük meg a gőzképződést a vénában és a falban, mely echodens árnyék formájában ábrázolódik (fehér nyíl). (Prof. Dr. Mark Whiteley engedélyével)
A Sonovein eszköz (gyártója: Theraclion, Párizs, Franciaország) automatikusan meghatározza a véna bőrfelszíntől való távolságát és ennek megfelelően beállítja az alkalmazható maximális energiát, így védve a bőrt. Ezt kombinálja még a kezelőfejbe épített helyi hűtéssel, ezzel a bőr károsítása biztosan elkerülhető (1. ábra). Minden HIFU impulzus 8 másodpercig tart, ezt változó időtartamú pihenő időszak követi, időt adva a bőrhőmérséklet normalizálódására a következő impulzus előtt (2. ábra). Ezalatt a robot kezelőfejet a következő kezelendő terület fölé mozgathatjuk. Jelenleg a hosszabb törzsvéna szakaszok kezelése időigényes, másrészt azonban az elégtelen összekötő vénák (perforánsok), az újraképződött erek (neovaszkularizáció) vagy a saphena beömlés közeli kiújult vénás tágulatok kezelése gyorsan elvégezhető. A páciensek azonnal teljesen mobilisak a kezelést követően, nincs szükség trombózis megelőző kezelésre.

3. ábra.
Színes duplex áramlási kép mutatja a refluxot az elégtelen vena saphena magnában
(A) majd a véna elzáródását Sonovein HIFU kezelést követően
(B). (Prof. Dr. Mark Whiteley engedélyével)
Az elvégzett kezelések száma jelenleg még alacsony, de az már látszik, hogy a technológiai működik és az élmény a páciensen számára elfogadható. A kezeléseket követő duplex ultrahang kontroll vizsgálatok alapján már az is elmondható, hogy az eredmények rövid távon legalább annyira jók, mint az endovénás módszerekkel. Miután új eszközről van szó, az egyelőre jelentős méretű, drága és a kezelés nagy vénatörzseken hosszú ideig tart. Egyelőre még nem áll rendelkezésre nagyszámú adat arról, milyen betegek és mely erek kezelésében optimális a módszer és melyik betegcsoport esetében nem alkalmas, bár ebben az évtizedes endovénás tapasztalat sokat segít (3-4. ábra).

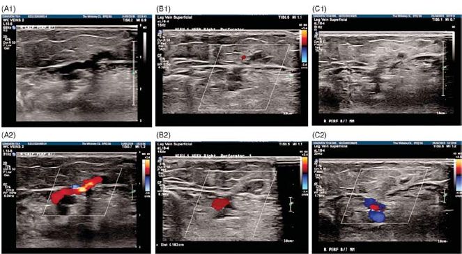
4. ábra.
Szürkeárnyalatos (A1, B1 és C1) és színes ultrahang képek (A2, B2 és C2) egy elégtelen perforans véna kezeléséről:
(A) kezelés előtt, (B) egy héttel a kezelés után és
(C) 6 héttel a Sonovein HIFU kezelést követően. (Prof. Dr. Mark Whiteley engedélyével)
Következtetés
Mivel egy teljesen non-invazív módszerről van szó, a nagy intenzitású fókuszált ultrahanggal történő kezelés jelentheti a következő nagy áttörést a visszértágulatok, vénás fekélyek és más vénás refluxszal járó betegségek kezelésében. Az endovénás kezelésekhez hasonlóan a HIFU technológia is tovább fejlődik. Nem kérdéses, hogy mind az eszköz, mind annak használata gyorsan javul a klinikai tapasztalatoknak megfelelően.
Irodalom
- Munasinghe A, Smith C, Kianifard B, Price BA, Holdstock JM, Whiteley MS: Strip-track revascularization after stripping of the great saphenous vein. Br J Surg. 2007 Jul;94(7):840-3.
- Ostler AE, Holdstock JM, Harrison CC, Price BA, Whiteley MS: Strip-tract revascularization as a source of recurrent venous reflux following high saphenous tie and stripping: results at 5-8 years after surgery. Phlebology. 2015 Sep;30(8):569-72.
- Fraser L: New Varicose Vein Surgery Speeds Recovery. The Telegraph. 2000. https://www.telegraph.co.uk/news/uknews/1374873/Ne w-varicose-vein-surgeryspeeds- recovery.html (accessed 20 May 2019)
- Rautio T, Ohinmaa A, Perälä J, et al: Endovenous obliteration versus conventional stripping operation in the treatment of primary varicose veins: a randomized controlled trial with comparison of the costs. J Vasc Surg. 2002 May;35(5):958-65.
- Min RJ, Khilnani NM: Endovenous laser treatment of saphenous vein reflux. Tech Vasc Interv Radiol. 2003 Sep;6(3):125-31.
- Zikorus AW, Mirizzi MS: Evaluation of setpoint temperature and pullback speed on vein adventitial temperature during endovenous radiofrequency energy delivery in an invitro model. Vasc Endovascular Surg. 2004 Mar-Apr;38(2):167-74.
- Whiteley MS, Holdstock JM: Percutaneous radiofrequency ablations of Varicose Veins (VNUS Closure). In: Greenhalgh RM (ed), Vascular and Endovascular Challenges. London; BibaPublishing 2004. p 361- 381
- Fan CM, Rox-Anderson R: Endovenous laser ablation: mechanism of action. Phlebology. 2008;23(5):206-13.
- Goldman MP: Closure of the greater saphenous vein with endoluminal radiofrequency thermal heating of the vein wall in combination with ambulatory phlebectomy: preliminary 6-month follow-up. Dermatol Surg. 2000 May;26(5):452-6.
- Navarro L, Min RJ, Boné C: Endovenous laser: a new minimally invasive method of treatment for varicose veins—preliminary observations using an 810 nm diode laser. Dermatol Surg. 2001 Feb;27(2):117-22.
- van den Bos RR, Milleret R, Neumann M, Nijsten T: Proof-of-principle study of steam ablation as novel thermal therapy for saphenous varicose veins. J Vasc Surg. 2011 Jan;53(1):181-6.
- Subwongcharoen S, Praditphol N, Chitwiset S: Endovenous microwave ablation of varicose veins: in vitro, live swine model, and clinical study. Surg Laparosc Endosc Percutan Tech. 2009 Apr;19(2):170- 4.
- Bacon JL, Dinneen AJ, Marsh P, Holdstock JM, Price BA, Whiteley MS: Five-year results of incompetent perforator vein closure using TRans-Luminal Occlusion of Perforator. Phlebology. 2009 Apr;24(2):74-8.
- NICE Clinical Guidelines CG168, July 2013. https://www.nice.org.uk/guidance/cg168 (accessed 20 May 2019)
- Tessari L, Cavezzi A, Frullini A: Preliminary experience with a new sclerosing foam in the treatment of varicose veins. Dermatol Surg. 2001 Jan;27(1):58-60.
- Elias S, Raines JK: Mechanochemical tumescentless endovenous ablation: final results of the initial clinical trial. Phlebology. 2012 Mar;27(2):67-72.
- Chan YC, Ting AC, Yiu WK, Cheng SW: Cyanoacrylate superglue to treat varicose veins: truly office based and minimally invasive? Eur J Vasc Endovasc Surg. 2013 Feb;45(2):176-7.
Dr. Szabó Attila
Érbetegségek: 2021/1. 9-12. oldal