Bevezetés: A képalkotó diagnosztikának számos módszere használatos a vascularis kórképek diagnosztikájában. Súlyos, életveszélyes kórképek esetén fontos, hogy gyorsan, a beteget kevéssé megterhelő módon legyen képes a radiológus korrekt diagnózist adni. Anyag és módszer: A spirál CT berendezés gyors képalkotás révén alkalmas arra, hogy a vizsgálatot az érképletek csúcs kontrasztanyag halmozásakor végezzük el. Jól tanulmányozható az ér lumen, esetleges állumen, fali meszesedés, intraluminalis thrombosis, az aorta nagyobb ágainak, a hasi parenchymás szervek keringése, kontrasztanyag halmozása. Könnyen kivitelezhető a mellkas és a has, az aorta teljes hosszában történő vizsgálata is (10 mm-es szeletvastagság, 10 mm/s asztal elmozdulás, 3-4 ml/s kontrasztanyag beadási sebesség, 20 s késleltetési idő). A szerzők aorta dissectio, aorta aneurysma ruptura, hasi aorta thromboticus eredetű elzáródásának egy-egy esetét ismertetik.
Következtetés: A gyors működésű CT berendezés súlyos vascularis kórkép gyanújakor - például aorta dissectio, aorta hasi aneurysma ruptura, hasi aorta elzáródás - pontos diagnózist ad, amelyre acut, életmentő műtét alapozható. Az ismertetett esetekben a CT lelet egyezett a műtét vagy a sectio során észlelt elváltozásokkal.
Érbetegségek: 2000/1. 7-12. oldal
KULCSSZAVAK
Spirál/helikális CT, aorta aneurysma, aorta dissectio
Bevezetés
Jelenleg számos módszer áll rendelkezésre a vascularis kórképek diagnosztizálására. A napi rutinban a következő módszerek használatosak:
- ultrahang diagnosztika (kétdimenziós real-time vizsgálat [B-scan], Duplex Doppler vizsgálat, color Doppler vizsgálat, Color amplitudo imaging [CAI] Power Doppler [UH angiográfia], speciális vizsgálómódszerek [endovascularis, endoluminalis, transoesphagealis vizsgálat stb.]),
- CT vizsgálat (hagyományos kontrasztanyagos vizsgálat, spirál CT angiográfia, többsíkú rekonstrukciós és 3D megjelenítés),
- MR vizsgálat (többsík kétdimenziós szeletek, MR angiográfia natívan, kontrasztanyaggal),
- hagyományos angiográfia (arteriográfia, flebográfia, limfográia) (1-4).
E módszerek eltérőek az elérhetőség, invazivitás, költség, reprodukálhatóság, a vizsgálat által szolgáltatott információtartalom stb. tekintetében. Sürgősségi helyzetben, amikor életveszélyes állapot áll elő - pl. aorta dissectio, aorta aneurysma ruptura gyanúja -, fontos, hogy olyan vizsgálómódszer álljon rendelkezésre, amellyel igazolható vagy megnyugtató módon kizárható a betegség. Ebben a helyzetben a CT vizsgálat alkalmas e célra: gyors, csekély mértékben invazív, hazánkban is elterjedt, sok helyen bármely időben elérhető, kritikus állapotú beteg is vizsgálható (4-6). Ismertetendő eseteink azt támasztják alá, hogy sürgősségi helyzetben, a spirállhelikális CT vizsgálat képes megfelelni az elvárásoknak.
Módszer
A CT vizsgálatokat Picker PQ5000 (Picker International Inc., Cleveland, Ohio, USA) IV, generációs berendezéssel a POTE Radiológiai Klinika CT laboratóriumában 1998, februárja és 1999, januárja között végeztük el. A mérések spirál üzemmódban történtek. Tájékozódó natív méréseket követően kerül sor a kontrasztanyagos vizsgálatra, melynek paraméterei attól függenek, hogy az aorta körülírt elváltozásáról van-e szó (aorta aneurysma) vagy a thoracoabdomialis aorta érintett-e (pl. aorta dissectio). Utóbbi esetben két adatgyűjtés (mellkas, has) történik, 10 mm-es szeletvastagsággal, 10 mm/s asztallap elmozdulási sebességgel, 120 ml kontrasztanyagot adunk be injektor segítségével szárnyas tűn vagy vénás kanülőn át 3-4 ml/s ütemben, rendszerint 20 s késleltetéssel. Az artériák lehető legjobb ábrázolása céljából a vizsgálat korai (artériás) fázisban történik. Ekkor a parenchymás szervek kontrasztanyag halmozása csekély. A sürgősségi helyzetben megelégszünk a 2D axiális szeletekkel, esetleg egyszerű, coronalis vagy frontalis síkú rekonstrukciókat végzünk. A spirál CT vizsgálat volumetrikus adatgyűjtése miatt rövidebb vizsgált volumen esetén 3D megjelenítési módokkal szemléletesen bemutatható az érrendszer (2, 3, 5). Ehhez kis kollimáció és kis rekonstrukciós index (1-2 mm) szükséges. Eseteinkben ezekre nem került sor.
Esetismertetések
1. eset
G. Z. 76 éves férfi prosztatatumora miatt sugárkezelését kezdték el. A kezelés első napjaiban hasi fájdalom, hányás jelentkezett. A sugárkezelést felfüggesztették. Kórházi felvételének napján hányás, hypotensio miatt az ügyeletes belgyógyászati osztályra szállították. A felmerült ileus diagnózisát a negatív natív has röntgen vizsgálat kizárta. Urológiai alapbetegség miatt az Urológiai Klinikán elvégzett hasi ultrahang vizsgálat hasi aorta aneurysmát mutatott ki. Érsebész konzíliumot követően sürgős CT vizsgálat elvégzését kérték. A rekeszszárak és az aorta bifurcatio síkja között történt meg a natív-, majd kontrasztanyagos vizsgálat. A hasi aorta kifejezetten meszes volt. A pancreas síkjától caudalisan a zsírszövet beszűrt volt, a retroperitoneumban szabálytalan alakú területen magas denzitás (50-60 HU) volt mérhető, ami vér jelenlétére utalt. A hasi aorta a vese hilusok magasságáig normális tágasságú, a truncus coeliacus, az a. renalisok kontrasztanyag halmozása normális volt. Utóbbi artériák síkja alatt kb. 2 cm-rel distalisan az aorta ovoid alakúvá vált, a natív képe-ken az aortafalban lévő meszesedés megszakadt az aortafal ventralis, jobb oldali lateralis részén. Ez alatt, subrenalisan aortatágulat látszott, legnagyobb kiterjedésében kb. 7 cm-es, benne kb. 5 cm-es, a kontrasztanyagot intenzíven halmozó rész ábrázolódott, melyet körkörösen hipodenz (35 HU) réteg övezett. Az aorta distal felé elkeskenyedett, az a. iliaca communisok csaknem normális tágasságúak, de környezetük beszűrt volt. Az a. mesenteria superior főtörzsét lehetett hosszú szakaszon követni. Vélemény: Hasi aorta aneurysma, amely fali thrombotikus felrakódással járt, az a, renalisok síkja alatt megrepedt, retroperitonealis vérzéssel (1-3. ábrák). A vizsgálatot követően a Baranya Megyei Kórház - POTE Sebészeti Tanszék érsebészeti osztályán urgens műtét történt. A retroperitoneumot ökölnyi aneurysma töltötte ki, környezetében haematoma volt. A retroperitoneumba rupturált aneurysma nyakát a bal v. renalis lekötése után lehetett kirekeszteni. A két a. iliaca communis kezdeti szakaszának kirekesztése, az aneurysma zsák felnyitása után a thrombust eltávolították. Dacron grafttal interpositumot helyeztek a subrenalis aortaszakasz és az aorta bifurcatio közé. A posztoperatív időszakban vesefunkciós zavar alakult ki, amely rendeződött. A passage időben normalizálódott, a sebgyógyulás zavartalan volt. A beteg jó állapotban távozott az intézetből, másfél évvel a műtét után panaszmentes.

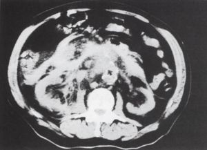
1. ábra.
A vese hilusok síkjában, az aorta falában lévő meszesedés megszakad - ez a ruptura helye, az aortától jobbra, ventralisan magas denzitású képlet, haematoma látszik. A jobb vese előtt a retroperitoneum beszűrt.

2. ábra.
Az 1. ábrával megegyező síkban, kontrasztanyag adása után készült felvétel, a kontrasztanyag egy része az aorta előtt látszik.

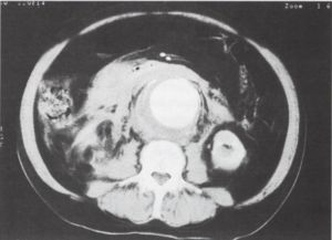
3. ábra.
Infrarenálisan kb. 7 cm átmérőjű aneurysma, az aorta meszes falú, jobb oldalon és dorsalisan sarló alakú hipodenz terület - fali thrombus. A retroperitoneumban magas denzitású képlet, haematoma.
2. eset
U. J. 77 éves férfibeteget hajnalban, erős, epigastriumból kiinduló, mellkasba sugárzó fájdalom miatt szállították a Baranya Megyei Kórház kardiológiai osztályára. Szívinfarktust az EKG- és enzimvizsgálatok nem igazoltak. Hirtelen hányni kezdett és meggypiros, híg székletet ürített. Hasi panaszai miatt áthelyezték a kórház gasztroenterológiai osztályára. Ismétlődő véres székürítés, 20%-os prothrombinszint és megnagyobbodott máj miatt nyelőcső varfix ruptura gyanúja merült fel, ezért sürgős endoscopia történt. Ennek során 3 mm-es nyelőcső varixok ábrázolódtak, a gyomorban jelentős mennyiségű véres gyomornedv volt, aktív vérzés jele nélkül. Varfix vérzés miatt Blackmore-szondát vezettek le. Mellkas röntgen felvétel régi specifikus folyamat maradványait mutatta ki, balra megnagyobbodott szívet, tágult, elongált, meszes falú aortát talált. A mellkas, has jobb oldalán cyanosis alakult ki, ez akut keringési zavarra utalt. Hasi aorta aneurysma, ruptura iránydiagnózissal hasi ultrahangvizsgálat történt. A hasban diffúzan tág, élénken mozgó, folyadékkal kitöltött vékonybélkacsok látszottak. A hasi aorta a pancreas síkjától distalisan ábrázolódott, ami tág volt a bifurcatióig. A tágult aorta átmérője kb. 4 cm volt. Az aortában excentrikus helyzetben egy lebegő hyperreflektív képlet látszott. Ez aorta dissectio gyanúját keltette, kiterjedése megítélésére CT-vizsgálat vált szükségessé.
A CT-vizsgálatot az aortaívtől a medencéig, az aorta bifurcatio síkjáig végeztük el. Az aortafal az ér teljes lefutásában meszes volt. Az aortaív 4 cm, az aorta thoracalis 3,5 cm, a hasi aorta 3-4 cm, az a. iliaca communis 1.5 cm átmérőjű volt. Már a natív felvételeken jól látszott, hogy az aortában az iratima dorsalisan levált, nekifeküdt a ventralis falnak. Kontrasztanyag adása után láthatóvá vált az intraluminalis intima ("intimal flap"), a dissectio már az aortagyök területén elkezdődött, a dissectio érintette mindkét a. subclaviát is. Az aorta thoracalis területén a valódi lumen comprimált, sarló alakú. A tr. coeliacus kontrasztanyag halmozása szabályos volt. A hasi aorta felső szakaszán is félhold alakúvá vált a valódi lumen, a bal a. renalis, a bal vese nem halmozta a kontrasztanyagot. A vesék alsó pólusa magasságában félhold alakban a kontrasztanyagot nem halmozó, hipodenz részlet látszott (thrombotikus fali felrakódás). A bifurcatio síkja felett az aorta közel normális tágasságú, mindkét a. iliaca communis normális kontrasztanyag halmozású volt. A bal mellűrben 1 cm-t meg nem haladó folyadék volt. A hasi parenchymás szervek kontrasztanyag halmozásában érdemi eltérés a bal vese kivételével nem látszott, alakjuk, méretük normális volt. A hasban néhány tág vékonybélkacs mellett a vékony- és vastagbelekben vízszintes, 30-50 HU denzitású folyadék képezett nívót.
Vélemény: A supraaorticus erekre is ráterjedő aorta dissectio. Bal oldali mellűri folyadék. Keringést nem mutató bal vese. Aorta aneurysma, fali thrombotikus felrakódás a hasi aorta infrarenalis szakaszán. Tág, vértartalmú belek, ileus. (Stanfard A opusú dissectio.) (4-6. ábrák).
A beteg keresett vvt masszát és friss fagyasztott plazmát kapott. A perifériás mellkasi cyanosis fokozódott, és a tünetek jelentkezése után valamivel több mint fél nappal a beteg exitált. A sectio után megállapított fontosabb kórbonctani diagnózisok: Arteriosclerosis universalis maioris gradus. Aneurysma thrombotisatum aortae abdominalis. Aneurysma dissecans thoracalis et abdominalis. Infarceratio haemorrhagica intestini tenuis. Cirrhosis micronodularis hepatis. Varicositas oesophagei. Hypertonia. Hypertrophia dilatativa ventriculorum cordis.

4. ábra.
A nagyított felvételen az aorta kifejezetten meszes intimájű, levált, ventral és jobb oldal felé nyomott. A valódi lumen erősen beszűkült.

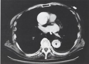
5. ábra.
Dissectio mind az aorta ascendensben, mind az aorta thoracalisban, A dissectio a mellkasi aortában jól látható, mindkét lumenben kontrasztanyagot halmozó vér van. A kisebb, összenyomott lumen a valódi lumen (a nyíl a levált intimára mutat).

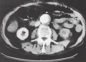
6, ábra.
A vesék alsó pólusának magasságában ábrázolódik a mérsékelten megnagyobbodott aorta tágulat, aneurysma, amelynek bal oldali részén az állumen hipodenz, thrombotizált. A jobb vese halmozza a kontrasztanyagot, a bal a. renalis az állumenből ered, ezért a bal vese keringése károsodott. A tág bélkacsokban folyadéknívó van (ileus).
3. eset
K, J. 48 éves férfibeteg carotis sinus hyperaesthesia miatt pacemaker beültetésen esett át, egy évvel kórházi felvétele előtt pulmanalis embóliája zajlott. Ismert betegségei; diabeles mellitus, hypertonia, ischaemiás szívbetegség. Tartós Syncumar szedő. Belgyógyászati ambulancián jelentkezett három nappal korábban kezdődő vese- és gyomortáji fájdalmak, fulladás, alsó végtagi fájdalalll miatt. A beteget áthelyezték a Baranya Megyei Kórház - PETE Sebészeti Tanszék sebészeti osztályára. Érkezésekor kifejezett hasi fájdalmai voltak, erősen verítékezett, hányt. Anuria fejlődött ki. Hasa feszes volt, alig betapintható. Bélhangok nem hallatszottak, loccsanás volt hallható, diffúz, elsősorban epigastrialis nyomásérzékenység. Az alsó végtagokon pulzust nem lehetett tapintani, a lábszárak hidegek voltak. Hasi aorta dissectio gyanúja miatt acut CT-vizsgálat elvégzését kérték. A mellkasban mindkét oldalon 3-4 cm-es, sarló alakú folyadékgyülem látszott. Az aorta thoracalis tágassága, kontrasztanyag halmozása szabályos volt. A normális tágasságú hasi aorta az L. I, csigolya magasságában fokozatosan, kb. 3 crn lefutás alatt elzáródott, ettől distalisan kontrasztanyag halmozás nem ábrázolódott. A tr. coeliacus ágaiban csak igen csekély kontrasztanyag halmozás volt megfigyelhető, a máj és a lép denzitása érdemben nem nőtt a natív méréshez képest. A normális méretű jobb vese parenchymájának denzitása sem változott. A bal vese megkisebbedett, felső harmada halmozta csak csekély mértékben a kontrasztanyagot. Az a. mesenterica superior eredését követően kb, 5 cm-rel elzáródott, ettől distalisan jelentős artériás keringés a mesenteriumban nem volt. A vékonybelek tágak voltak, folyadékot tartalmaztak, folyadéknívó ábrázolódott a bélkacsokban. A jobb vese alsó pólusa síkjában az aorta lumenben ívelt meszesedés ábrázolódott. Mindkét a. iliaca communis gracilis és fala meszes volt. Vélemény: Hydrothorax l, u. Occlusio aortae abdominalis. Súlyos keringési zavar a hasi parenchymás szervekben, vékonybél ileus (7-9. ábra).
Szívelégtelenség, alacsony prothrombin szint miatt eloőzetes előkészítést követően laparotomia történt. A hasüregben vörhenyes színű exsudatumot találtak, a teljes vékonybél szürkésfekete, nekrotikus, irreverzibilisen károsodott volt, mint ahogyan a máj is. Keringési elégtelenség tünetei között exitált.
A sectio után megállapított főbb kórbonctani diagnózisok: Hypertonia. Emphysema chronicum et oedema pulmonum. Hypertrophia dilatativa ventriculorum cordis. Arteriosclerosis universalis gravis. Thrombosis aortae abdominalis inde occlusio orificii arteriae mesentericae superioris. Infarceratio haemorrhagica intestini tenuis. Infarctus lienis et renis l. d. Hydrothorax l. u.

7. ábra.
Az aorta csaknem teljes egészében halmozza a kontrasztanyagot, csak jobb oldalon látszik diszkrét sarló alakú hipodenz sáv (a thromobus cranialis vége). A lép és a máj kontrasztanyag halmozása csekély. Bal oldalon, a pleuraűrben sarló alakú folyadékgyülem (*).

8. ábra.
A pancreas corpus síkjában, az a. mesenterica superiror eredése alatt az aorta nem, a v. cava inferior kifejezetten halmozza a kontrasztanyagot. A jobb vese hipodenz maradt, a megkisebbedett bal vese halmozza a kontrasztanyagot.

9. ábra.
A nagyított felvételen, a vesék síkja alatt az aorta lumene hipodenz. Benne "C" alakú meszedés a régóta kialakult, kalcifikált felszínű thrombusra utal. Ettől balra a frissen elzáródott szűk lumen. A hasban tág bélkacsok látszanak, folyadéknívóval (ileus).
Ősszefoglalás
Huszonhat éve jelent meg Hounsfield közleménye egy új módszerről, amelyet kezdetben "computerizált axiális tomográfiának" hívtak. Néhány évvel később már publikáltak közleményeket hasi aorta aneurysma, aorta dissectio CT-vizsgálattal szerzett tapasztalatokról (8-l0). Az idők folyamán kialakult a CT-vizsgálat helye a vascularis rendszer, az aorta betegségeinek vizsgálatában. Jelentős fordulatot okozott a CT diagnosztikában a 10 éve megjelent, azóta a hazai radiológiai gyakorlatnak is részévé váló új módszer, a spirál/helikális CT-vizsgálat, CT angingráfia (11, 12).
A spirál CT-vizsgálat néhány jellegzetessége: gyors képalkotás - az egész mellkas, has vizsgálható egy-egy légvétel között; a volumetrikus adatgyűjtés miatt a légzési és egyéb mozgási műtermékek hiánya; ún. parciális volumen hatás minimalizálható; a vizsgálat úgy időzíthető, hogy az érrendszer optimális kontrasztanyag halmozású; volumetrikus mérés miatt átfedő szeletek jó minőségű, több síkú és 3D rekonstrukciót tesznek lehetővé. Ezen jellegzetességek miatt a spirál CT pontosabb, mint a hagyományos CT. Ezért precízebb a gócdetektálás; az érrendszer jobban megjeleníthető (CT angiográfia); jobb a térbeli ábrázolás, speciális 3D módszerek alkalmazhatók (virtuális endoszkópig) (2, 3, 11, 12) Eseteink között is szerepel egy beteg, akinek aorta dissectiója volt. E betegség kapcsán tanulmányozható a CTvizsgálat jelentősége, figyelembe véve, hogy a betegek gyakran kritikus állapotúak. Az aorta dissectiót azonnal fel kell ismerni, és pontosan kell diagnosztizálni, mert a kezeletlen betegek mortalitási aránya kb. 25% az első 24 órában, 70% az első 2 hétben, 90% 2 hét után. Pozitív dlagnózis esetén el kell különíteni a Stanford klasszifikáció szerinti A és B típust, ami az intima sérülés helyére utal (bal a. subclaviától proximálisan vagy distalisan), megszabván a kezelés módját (azonnali műtét vagy gyógyszeres kezelés) (5, 6. 13, 14). E betegségben hosszú ideig "golfi standard"-nek tartott módszer volt az angiográfia, azonban az utóbbi évtizedekben a klinikai gyakorlat része lett e betegség vizsgálatában a CT mellett az echokardiográfia és az MR. Számos szerző végzett összehasonlításokat e módszerek között a kilencvenes évek elején. E közleményekben, a hagyományos CT berendezésekkel végzett vizsgálatok szerepeltek. Így a dissectio kimutatásában a fenti non-invazív módszerek szenzitivitása és specificitása az alábbi határok között mozgott: transoesophagealis echokardiográfia: 98-100 %, 77-96 %; CT: 83-100%, 87-100%; MR vizsgálat: 90-100%, 98-00% (13, 14). Aorta dissectio esetén számos kóros jelenségről kell nyilatkozni, az alapelváltozások (kettős lumen, intimal flap) igazolása mellett fontos az aorta oldalágak (coronáriák!), aorta regurgitáció vizsgálata is, utóbbi kimutatására a CT nem alkalmas (14), ezzel szemben a magas szenzitivitású, specifcitású transoesophagealis echokardiográfia nem ad információt a hasi aorta és ágai állapotáról; továbbá figyelembe kell venni, hogy kritikus állapotú beteg MR vizsgálata sem egyszerű (5). A közelmúltban jelentek meg olyan közlemények is, amelyek vizsgálatának tárgya a spirál CT volt (3, 5, 6). Sommer és mtsai (1996) összehasonlító vizsgálata azzal az eredménnyel zárult, hogy a spirál CT és multiplanáris transoesophagealis echokardiográfia ugyanolyan értékes, mint az MR a thoracalis aorta dissectio detektálásában. A supraartikus ágak érintettségének vizsgálatában a spirál CT-t találták a legjobbnak (6).
Összegezésként elmondható, hogy a spirál CT számos intézetben preferált képalkotó módszer, sürgősségi helyzetben felváltotta a konvencionális angiográfiát. E módszer gyors, noninvazív, nem igényel artéria punkciót. Magas szenzitivitású és specilicitású az aorta betegsége-intik vizsgálatában, csökkent beteg morbiditással jár. Az adatgyűjtés a thoracoabdominalis aorta teljes hosszában optimális kontrasztanyag halmozás során végezhető el. B ár a 2 D axiális képek elegendők a diagnózishoz, a rekonstruált képek, a 3D megjelenítés segíti a sebészt a kórfolyamatok pontosabb áttekintésében (3, 5). Hátrányként meg kell jegyezni, hogy kellő számú készülék hiányában a spirál CT jelenleg hazánkban még csak korlátozottan áll rendelkezésre. Az ismertetett esetekben a CT lelet megfelelt a műtét vagy a sectio során észlelt eltéréseknek.
Irodalom
- Harkányi Z.: Az ultrahang diagnosztika lehetőségei az érbe tegségek vizsgálatában. Érbetegségek. 5: S11-15. (1998.)
- Dixon, A. K: Spiral (helical) CT - 1U years on. European J. Radiology. 28: l. (1998.)
- Rankin, S. C.: Spiral CT: vascular applications. European J. Radiology. 28: 18-29. (1998)
- Bujzik G., Mendly J., Repa L: A cardiovascularis rendszer radiológiai vizsgálata. In.: Radiológia, szerk.: Berényi E., Bogper P., Horváth Gy., Repa I. Springer Hungarica Kiadó, Budapest, 1997. 133-147.
- Yee, J., Hung, R. K: Spiral CT angiography of aortic dissec tion. Emergency Radiology. 6: 24-31. (1999)
- Somer, T., Fehske, W., Holzknecht, N. et al.: Aortic Dissec tion: A Comparative Study of Diagnosis with spirál CT, Multiplanar Transesophageal Echoca~~diography and MR Imaging. Radiology. 199: 347-352. (1996)
- Honsfield, G. N.: Computerezed transverse axial scanning (tomography): Part I. Decription of system. Br. J. Radiol. 46: 1016-1022. (1973)
- Harris, R. D., Usselman, J. A., Vint, V. C. et al.: Compute rezed Tomographic Diagnosis of Aneurysms of the Thoracic Aorta. J. Comput. Assist. Tomogr. 3: 81-9 L (1979)
- Godwin, J. D., Herfkens, R. L., Skiöldebrandt, C. G. et al.: Evaluation of Dissections and Aneurysms of the Thoracic Aorta by Conventional and Dynamic CT Scanning. Radio logy. 136: 125-133. (1980)
- Egon, T. J., Neiman, H. L., Herman, R. J. et al.: Computeri Tomography in the Diagnosis of aortic Aneurysm Dissec tion or Traumatic Injury. Radiology. 136: 141-146. (1980)
- Harkányi Z., Balázs Gy., Hrabák K. és mttsai: Spirál CT: új radiológiai módszer a régi alapokon. Lege Antis Medicinae. 5: 426-433. (1995)
- Balázs Gy., Hurkányi Z., Arany A.: Spirál-CT-angiográfia: a hasi artériák vizsgálata. Lege Antis Medicinae. 7: 226 232. (1997)
- Nienaber, C. A., Kodolitsch, Y, Nicolas, V. et al.: The Diagnosis of Thoracic Aortic Dissection by Noninvasive Imaging Procedures. N. Engl. J. Meri. 328: 1-9. (1993)
- Cigorroa, J. E., Esselbacher, E. M., DeSanctis R. W.: Diagnostic Imaging in the Evaluation of suspected Aortic Dis section. N. Engl. J. Meri. 328: 45-43. (1993)
Dr. Weninger Csaba
Pécsi Orvostudományi Egyetem, Radiológiai Klinika
7624 Pécs, Ifjúság u. 13. Tel,: 72/324-122.
Fax; 72/311-214. E-mail: Ez az e-mail-cím a szpemrobotok elleni védelem alatt áll. Megtekintéséhez engedélyeznie kell a JavaScript használatát.
Érbetegségek: 2000/1. 7-12. oldal

