Nemrég elhunyt, kiemelkekedő szerzőnk, Bartos Gábor emléke előtt tisztelgünk jelen cikke megjelentetésével.
A humánum, a koncepció, a szervezés, a logisztika, az internacionális és interdiszciplináris együtműködés, valamint a 3D modellezés találkozása az endovascularis-neurochirurgiai intervencióval, a bangladesi sziámi ikrek szétválasztásánál. I. rész (2017 - 2019)
Érbetegségek: 2024/4. 146-152. oldal
Azzal kell kezdenem, hogy megindokoljam, miért foglalkozik angiológiai szaklap ezzel a szenzációs, de lényegében a lap profiljába csak részben illeszkedő történettel. Erre a válasz már a szokatlanul megfogalmazott címben benne rejlik. Ennek a heroikus vállalkozásnak egyik alapfeltétele olyan novum volt, amelynek segítségével a műtétsorozat új és magyar ember által kifejlesztett angiochirurgiai beavatkozás lehetőségének felismerésével, majd sikeres elvégzésével vált egyáltalán lehetővé.
A kazuisztika az egyik, bár nem mindig eléggé elismert tudományos közlésforma, amelyben az eset egyedisége mellett példázatot találunk egy, vagy több tudományos törvényszerűség érvényesülésére. A következő írásunk a műfaj legérdekesebb és legtanulságosabb esetei közül való. Erről a témáról Magyarországon eddig még nem jelent meg szakirodalmi közlés. A fenti, hosszú cím egyben a munka összefoglalása is, hiszen egy állítmány nélküli mondatban összegezi a közölnivaló lényegét és utal az endovascularis angio-chirurgia döntő szerepére ebben az egyedi esetismertetésben.
Sziámi ikrek születése irodalmi ritkaság. Ötvenezer szülésre jut egy sziámi ikerpár. Még kevésbé gyakoriak a fejüknél összenőtt sziámi ikrek. A koponyáknál összenőtt konstelláció, a craniopagus – mely gyakran együtt jár az agyak összenövésével - mindössze 2-5% az összes összenőtt ikrek között, azaz 2,5 millió szülésre számítva fordul elő 1 ilyen eset. Sikeres szétválasztásuk pedig igazi, világirodalmi ritkaság. Ezért egy-egy eset közlése nem csak érdekes esemény, de rendkívül fontos is, hiszen a megoldás módszerei az egész orvostudomány számára tanulságosak lehetnek. A bangladesi craniopagus ikrek a Stone és Goodrich osztályozás szerinti az I. típusú totalis verticalis összenövésben voltak (1. ábra).

1. ábra.
A craniopagus ikrek: Rabeya és Rukaya
A továbbiakban elmondjuk hogyan kerültek ilyen raritásba magyar szereplők, annál is inkább, mivel ez a fejődési rendellenesség leginkább nem európai országokban szokott előfordulni.
A történet első főszereplője és kulcsembere Pataki Gergely, aki orvosi diplomáját a Semmelweis Orvostudományi Egyetemen kapta meg 1999-ben, sebész, plasztikai és égési sebész szakorvos, általános és érsebészeti gyakorlattal. Orvos-közgazdász és egészségügyi menedzser. Hazai tanulmányait és szakképzését Németországban, Írországban, Hollandiában, Brazíliában, az USA-ban, valamint Ausztráliában egészítette ki. Nemzetközileg ismert szakember, erre jellemző példaként megemlítjük, hogy nemrég három könyvfejezet is megjelent tőle az egyesült államokbeli plasztikai sebészeti szakmonográfiákban (Springer-Nature). Jelentős a társadalmi tevékenysége, például a Magyar Rezidens Szövetség alapító elnöke volt. Tagja számos tudományos társaságnak és a Budapesti Orvosi Kamara Etikai Bizottságának is. Több jó hírű, budapesti intézményben dolgozott. A cikk írásakor a János Kórház Gyermeksebészeti Osztályán közalkalmazottként vezeti a gyermekplasztikai és égési ambulanciát és a magánegészségügyben, a Premium Plasztikai Sebészet vezetőjeként is működik.
2002-ben alapította a Cselekvés a Kiszolgáltatottakért Alapítványt, amelynek keretében 2010 óta rendszeresen jár munkatársaival Bangladesbe, ahol ingyen plasztikai műtéteket végez főként égési sérülteken, de fejlődési rendellenességek miatt is. 2017-ig hat misszió keretében több mint 500 műtétet végeztek. Pataki Gergelynek jelentős szerepe van a bangladesi plasztikai sebészet fejlesztésében. 2012-ben az International Medical College Dhaka egyetemtől a vendég professzori kinevezést, ill. kitüntetést kapta. 2018 óta a Bangladesi Népi Köztársaság magyarországi tiszteletbeli konzulja. 2020-ban a Magyar Érdemrend Lovagkereszt (polgári tagozat) kitüntetést kapta a bangladesi sziámi ikrek szétválasztásáért.
A másik főszereplő Csókay András, PhD, az M. H. Egészségügyi Központ osztályvezető leköszönő idegsebész főorvosa. Az eredeti szakmája építőmérnök volt. Mérnöki tanulmányai és tapasztalatai később hozzájárultak azoknak az új eljárásoknak a kifejlesztéséhez, amiket az idegsebészetben hasznosított. Egyedi specialitása, hogy még ma is sok munkanapját bonctermi gyakorlással kezdi. Közel harminc éve gyógyít. A sziámi ikrek szétválasztása óta nemzetközileg elismert idegsebész lett. Az agyi mikrosebészet nemzetközi hírű specialistája, több új műtéti eljárás inventora. Többek között az ő nevéhez fűződik az „éralagút-technika”, ami alkalmas a súlyos traumás agyduzzadás kezelésére, az agyi érvarrás és egy új tumor kezelési technika. Nagy szakirodalmi munkássága mellett tíz vallásos ihletettségű könyvet írt. A fentebb említett Alapítvány első kuratóriumi elnöke volt. Pataki doktor hívására ő is járt Bangladesben, ahol számos életmentő agyi, sürgősségi műtét mellett agysebészeti, onkológiai beavatkozásokat végzett. Más fejlődő országokban is járt, ahol ingyen gyógyította a rászorulókat. Kimagasló tevékenységével kiérdemelte a Prima Primissima, a Semmelweis díjat, s a Magyar Köztársasági Érdemrend középkeresztjét, 2020-ban pedig a Polgári Magyarországért díjat. Mélyen vallásos ember, aki a mindennapos életében, munkájában nemcsak megvallja hitét, de az imádság erejével is támogatja az általa gyógyítottakat.
A történet azzal kezdődött, hogy 2017 novemberében a bangladesi kollégák tudatták Pataki Gergellyel és az alapítvánnyal, a bangladesi sziámi ikrek létezését és kérték, mondjanak véleményt az esetről annak a fényében, hogy az ikrek szülei és a bangladesi egészségügyi hatóságok már számos, neves külföldi sebésztől próbáltak segítséget kérni, sikertelenül. Mindenkitől azt a véleményt kapták, hogy esetük reménytelen. A bangladesiek ugyanakkor azt kérték, hogy mindezek ellenére, ők próbáljanak segíteni. Abban az időben ugyanis a magyar plasztikai és égési sebészek már hatalmas tekintélyt és bizalmat vívtak ki Bangladesben, mind a hivatalos körökben, mind a lakosok között. A Dhaka Medical College plasztikai sebészetén az akkor tizenhat hónapos ikreket be is mutatták a két magyar orvosnak.

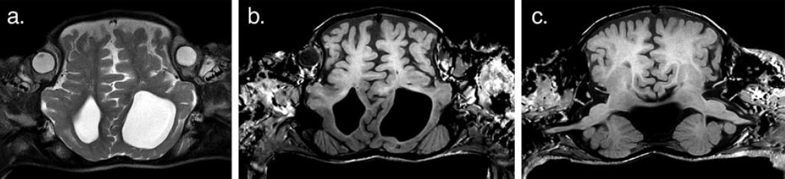
2/a,b,c. ábra.
2018-ban készült MRI képek az ikrek összenőtt, interdigitáló agyállományáról és koponyájáról.
Pataki Gergely és Csókay András megvizsgálták a gyermekeket, részletesen áttanulmányozták az eset addigi dokumentációját. Első véleményük nekik is kedvezőtlen volt. A craniopagus ikreknek bár külön-külön agya volt egy interthalamicus összekötő tractussal, és a két agy tekervényei szinte hézagmentesen, a szorosan összekulcsolt kézujjakhoz hasonlóan kapcsolódtak össze (2/ a,b,c. ábra). Emiatt, egy esetleges műtéti kísérletnél a szétválasztási kísérlet, komolyabb sérülés nélkül, szinte lehetetlennek látszott. Másrészt, bár az agyakat ellátó érrendszer artériái elkülönültek, a vénáknál viszont hatalmas, közös, sagittalis vénás sinus volt. Irodalmi adatokból ismerték, hogy ebből a műtét során, hatalmas, sőt végzetes kimenetelű vérzés keletkezhet, mint ahogy erre már volt is példa craniopagus ikreknél, s emiatt az ikerpár mindkét tagja meghalt (Szingapúri eset – Riffles Hosp; 2003).

3/a,b. ábra.
Az agyak vénás hálózatának 3D rekonstrukciója az okklúzió egyes fázisaiban.
Az első, visszautasító szakvélemény ellenére tovább gondolkodtak és konzultáltak a problémáról. E feladatot csak interdisciplinaris együttműködésben, több ülésben végzett műtétsorozattal lehet esetleg megoldani. A rehabilitáció is komoly feladatot jelenthet. Az orvosi probléma mellett ugyanakkor igen nagy szervezési, logisztikai és financiális igények merültek fel. Mindezen problémák ellenére Pataki Gergely, aki a későbbi műtétsorozat vezetője, főkoordinátora és plasztikai részének kigondolója, valamint végrehajtója volt, úgy döntött, hogy az Alapítvány teljes mellszélességgel az ügy mögé áll és megoldásokat keres, hogy a gyermekeknek és a bangladesi kollégáknak segíthessenek.
Csókay András, aki nemcsak közismert, gyakorló idegsebész, de jónéhány nagyszerű, új idegsebészeti műtéti eljárás kidolgozója, többszörösen sikeres orvos vezető, s mint korábban említettük, ugyanakkor mélyen vallásos világnézetű hívő, hosszas töprengés, meditáció s imádságok után jutott el az ügyet lehetővé tevő, indító gondolat felismeréséhez. Arra jött rá, hogy a műtétet majdnem lehetetlenné tevő közös vénás sinust a hagyományos sebészi eljárás helyett endovascularis úton kellene elzárni. Ezt a módszert craniopagus sziámi ikreknél eddig csak egyszer alkalmazták, és akkor ún. coilokkal zárták el a közös érrendszert (Trishna és Krishna, Royal Childrens Hospital, Melbourne).
Itt lép be a történetbe a harmadik főszereplő, Hudák István, PhD, intervenciós angio-chirurgus, idegsebész főorvos, aki abban az időszakban Csókay András munkatársa volt. Ő a kijevi egyetemen tanult, s ott sajátította el speciális jártasságát az endovascularis neurochirurgiában. Majd a Pécsi Idegklinikán működött. Onnét került a Honvéd Kórházba. Addigra már speciális szakterületén hatalmas nemzetközi elismertsége volt. Rendszeresen hívták külföldre operálni olyan esetekhez, amelyeket más nem tudott volna megoldani. Szakterületén szintén több új eljárás kifejlesztője. Ilyen az ú.n. kombinált transzartériás-transvénás behatolás. A vénás rendszeren keresztül végzett agyi beavatkozások kidolgozója és specialistája. Magas elismerései közül kiemelendő a Cornelius-díj és a Magyar Érdemrend Lovagkereszt (polgári tagozat) kitüntetés, mellyel Pataki doktor, a később szerepet kapó Csapody doktor mellett a bangladesi sziámi ikrek szétválasztásáért jutalmazták.
A lehetőségeket Csókay Andrással többszörösesen megtárgyalva, arra a következtetésre jutottak, hogy a probléma esetleg mégis megoldható. Hudák főorvos ki is dolgozta az eljárás menetét, számba vette a szükséges speciális kellékeket is.
2017 végén a Cselekvés Alapítvány közölte a bengáli illetékesekkel, hogy a magyarok elvállalják a bangladesi sziámi ikrek szétválasztási kísérletét. A közös akciónak Pataki javaslatára az "Operation Freedom" nevet adták, mivel mindkét ország történelmében a szabadság és a szabadságharc(ok) döntő szerepet játszottak. A továbbiakban Pataki Gergely volt e különleges orvosi vállalkozás szervezője és irányítója, az Alapítvány pedig a szponzora.
Bemutatjuk az ikrek családját: az édesapa Rafiqul Islam a harmincas éveiben járó iszlám, vallási hitoktató. Az édesanya Taslima Khatun mester szakos angol tanítónő. A család első gyermeke Rafia Islam, tizenéves kamasz kislány. S végül a két ikerleány Rabeya és Rukaya, akik 2016-ban születtek.
Az Alapítvány által elvállalt szétválasztás terve négy fázisból állt 1. Az endovaszkuláris szétválasztás; 2. A plasztikai sebészeti szövettágító szakasz; 3. A multidiszciplináris végső szétválasztás; 4. A rehabilitáció és a másodlagos rekonstrukciók, valamint a plasztikai műtétek szakasza. A szétválasztás alapvető feltétele, sine qua nonja a gyermekek agyi vénás vérkeringésének sikeres szétválasztása volt. Első lépésben erre kellett koncentrálni. Úgy gondolták, hogy az első fázisban elvégzik a már említett közös vénás sinus és az egyéb közös vénák endovasalis elzárását. Ezzel a műtéti kockázat döntő mértékben csökken, s reményük lehet arra, hogy a beavatkozás sorozat után az ikrek életben maradnak.
Nyilvánvaló volt, hogy a szétválasztás után mindkét gyermek fején hatalmas szövethiány keletkezik, amelynek fedéséhez nagy kiterjedésű többlet bőrre lesz szükség, még pedig a saját bőrükre. Ezt az autolog bőr-szövetszükségletet természetesen még a szétválasztás előtt biztosítani kellett. A bőr növesztését speciális szövettágító implantátumok beültetésével tervezték megvalósítani. A fokozatosan egyre nagyobb térfogatra növelhető expander feszíti a bőrt, amely ennek hatására növekedésnek indul. Többszörös tágítással, kellő idő alatt, jelentős méretű bőrfelület nyerését remélhették. E művelet a második fázis. Az első két fázisban tehát előkészítő műtéteket és kezeléseket terveztek. A harmadik fázis a szétválasztó műtét és a már említett nagy koponyadefektusok plasztikai fedése. Nyilvánvaló, ez lesz a döntő beavatkozás. Ennek eredményén múlik minden.
A negyedik fázis a postoperatív utókezelés és a rehabilitáció, ill. az esetleg szükséges, a korábbiakhoz képest már kisebb, korrekciós, rekonstruktív plasztikai beavatkozások ideje.
2018 elején megkezdődött a fenti terv megvalósítása Az "Operation Freedom" végrehajtásában mintegy száz magyar és legalább ugyanennyi bangladesi szakember vett részt. A földrajzi, a kulturális, a vallási, ill. az egyéb különbözőségek ellenére példátlanul jó, kollegiális, sőt baráti együttműködés alakult ki közöttük. Ilyen komoly nemzetek közti orvosi és logisztikai együttműködés sziámi ikrek szétválasztásának eddigi történetében még sohasem volt. Ennek az egyedülálló, új kapcsolatnak kifejezésére az Operation Freedom-ban résztvevő magyarok és bengáliak egységüket jellemző új szóval nevezték el magukat "Bangarians"-nak.
Hudák István és Csókay András Dhakába (vagy mai módon: Dakka) utaztak, hogy elvégezzék az első fázis vérkeringés-szétválasztó műtétét. A beavatkozás a Dhaka Medical College Hospitalban történt 2018 február 28.-án. Az endovascularis interventio, katéteres eljárással, Hudák István speciális módszerével, transzvenális behatolással altatásban történt, s mintegy öt órát vett igénybe.
Az embolizációt digitális substrakciós angiográfia és ballonkatéteres próbaokklúzió előzte meg. A vénák elzárását Hudák Onyx nevű etilén-vinil-alkoholos kopolimér speciális embolizáló anyaggal végezte. Megjegyzendő az a furcsa kontraszt, hogy ennek a világon élenjáró módszerrel végzett beavatkozásnak a narkózisát a bangladesi altatóorvosok altatógép nélkül, már több mint fél évszázada elavult, kézi, csepegtetéses módszerrel végezték. Tegyük hozzá, hogy a narcosist tulajdonképpen két összenőtt apró gyermeken, két bangladesi orvosi team végezte hosszú órákon át, sikeresen. Ez a bengáli orvosok részéről is óriási teljesítmény volt.
Az occlusio után sem az altatás idején, sem az ébredés után, sem pedig a következő időszakban nem kivánatos esemény nem történt. Tehát az ikrek sem agyi oedema, sem bármely neurologiai deficit jelét nem mutatták. Az egyik gyermeknél (Rukaya) kialakult magas láztól eltekintve, a beavatkozás nem okozott iatrogén ártalmat. A később elvégzett MRI angiografia kimutatta az embolizáló anyagot a lezárt sinusban (3/a,b. ábra).

4 ábra.
A második okklúzió utáni kontroll angiográfia.
Itt kell megemlítenünk az eddig, sziámi ikreknél még ebben a részletességben nem alkalmazott módszert, a 3D modellezést, amelynek segítségével további, alapvetően fontos információhoz jutottak részben az első fázis sikere szempontjából, de később is. A magyar team tagja lett Czeibert Kálmán, aki a számítógépes grafika és az ennek alapján készített 3D modellek szakembere volt. Ő eredeti végzettsége szerint állatorvos, aki neuroanatómiai témájú PhD-munkája során ismerkedett meg ezzel a technikával. Jelen esetben az ismételt képalkotó eljárások felvételei alapján szerkesztett modelljeivel plasztikusan tudta ábrázolni az ikrek agyát és annak ereit, több síkból lehetővé téve tanulmányozásukat, ezáltal a műtét begyakorlását. Az ő segítségével derült ki, hogy Hudák István beavatkozása után még mindig van egy olyan nagyobb nyitott véna a két agy között, amelyet szintén el kell zárni. Őt tarthatjuk e történet negyedik főszereplőjénnek, vagyis kulcsemberének, aki nemcsak új módszert hozott be a vizsgálóeljárások közé, hanem azért is, mert átlagon felüli tehetségével, eredeti meglátásaival, jelentős része volt a projekt sikerében. Ez volt az első eset, hogy MRI és CT angiográfiás felvételekből speciális programokkal felfedezte és pontosan lokalizálta, valamint modellen a valóságban is megjelenítette azt az intracerebrális vénás sinust és ágrendszerét, amely az első embolizáció után nyílt meg, s amit a korábbi vizsgálatok nem mutattak, de nem is mutathattak ki, mivel elképzelhető, hogy az első beavatkozás idején még nem is léteztek (vagy nem voltak láthatóvá tehetőek a képalkotó eljárásokkal).
A februári beavatkozás után 6 hónappal elvégzett kontroll vizsgálat szerint ugyanis a megváltozott áramlási viszonyok miatt új véna, egy belső vénás sinus alakult ki a két összefekvő agyfelszín között, amelyet az orvosok intracerebralis felső sagittalis sinusnak neveztek el. Ez a lelet valószínűleg igen súlyos, esetleg fatális, későbbi intraoperatív vérzéses szövődmény lehetőségét előzte meg. Czeibert Kálmán új módszerével, kifinomul agyi struktúrák különleges megjelenítésével és szerepüknek hangsúlyozásával tehát valószínűleg megmentette az ikrek életét. A második (kiegészítő) occlusiot kizárólag emiatt határozták el és ennek céljából Hudák István és Csókay András ismét Dhakába utaztak és 2018 augusztus 19.-én sikerrel megtörtént a második embolizáció is (4. ábra).

5 ábra.
A traktrográfia alapján készült 3D modell mutatja az agyak, illetve a pályarendszerek helyzetét.
Nem volt könnyű Hudák István dolga. Közel nyolcvan percig kereste az elzárandó eret, amíg megtalálta, majd embolizálta az intercerebralis sinust, valamint a kiegészítő haránt sinus rendszert.
Mindez még jobban aláhúzza Czeibert Kálmán közreműködésének értékét, akinek elévülhetetlen szerepe van még a plasztikai sebészeti műtétek (különösen az expanderek, a lágyrészfedés, valamint a koponyacsontpótlás – lágyrészdefektus fedés összefüggéseinek) tervezésében is. Örvendetes volt, hogy ennek a beavatkozásnak nyomán sem következett be szövődmény, vagy agyi károsodás. Mindezzel a tervezett első fázis sikeresen megvalósult.
Közben tervezték a második fázist, amely a korábban leírtak miatt hosszadalmasnak, esetleg fél évnél is hosszabbnak ígérkezett. Úgy döntöttek, hogy ezt a részt Magyarországon végzik el. Ehhez az egész Islam családot hónapokra, Budapestre kellett költöztetni. Még az orvos szakmai rész elvégzése előtt az Alapítványra hatalmas szervezési feladat várt. Gondoskodni kellett a család megfelelő szállásáról, ellátásáról, figyelembe kellett venni, hogy ők hirtelen idegen világba kerülnek. Elszakadnak a megszokott hazai környezettől és családi kapcsolataiktól és nem végeznek pénzkereső tevékenységet. Alkalmazkodniuk kell egy teljesen idegen kulturához és életmódhoz. Az ikrek kivizsgálása és tervezett műtéti kezelése miatt számos, szokatlan, sőt ijesztő élmény várt mindnyájukra. Nagy előrelátásra, gondos tervezésre és igen sok pénzre volt szükség. Pataki Gergely, valamint az Alapítvány egész vezetősége igen nagy erőfeszítéseket tett a család testi és lelki egészségének megőrzéséért. A következőkben ismertetünk néhány munkatársat, akik segítettek mindezt megvalósítani.
A bangladesi plasztikai sebészek kérésére a családot egy bangladesi orvos, Hossein Imam Emu is elkísérte, aki nemcsak támogatta őket, de összekötő kapocs volt a magyar orvosok irányába.
A fent vázolt célok megvalósítása érdekében, segítségül az Alapítvány három női munkatársát is a család rendelkezésére bocsátotta. Az egyikük, Kakukné Lapis Krisztina, az Alapítvány családsegítője, program koordinátora volt. Az Islam családhoz költözött Ilcsik Mariann, tapasztalt gyermek szakápolónő. Ő segített Taslimának az ikrek gondozásában és egészségük megóvásában. A család pszichoszociális alkalmazkodásának megkönnyítésében és a közelgő szétválasztó műtéttel kapcsolatos lelki megpróbáltatásokkal való megküzdésében, valamint a kislányok szétválasztó műtétre történő pszichológiai felkészítésében az Alapítvány önkénteseként Császár Zsuzsanna klinikai szakpszichológus biztosított szakszerű segítségét. Sándor Alexandra Valéria, az alapítványban szintén komoly koordinációs feladatokat látott el, valamint a résztvevők számára sokszor terhes sajtóérdeklődést csillapította. Végül az Alapítványnak még sikerült megnyernie az Amerikában élő, bangladesi származású viselkedés kutató, Sanjida Kamal együttműködését is, aki anyanyelvi szakemberként Császár Zsuzsannát támogatta, valamint ittléte során célzott viselkedéstréningek alkalmazásával jelentősen hozzájárult a kislányok önellátásának fejlesztéséhez.
A család 2019 január 5-én érkezett a Ferihegyi repülőtérre egy normál utasszállító géppel. Nagy havazás volt. Aznap csak ez a gép kapott leszállási engedélyt a különleges utasokra való tekintettel. Az egész tájat hó borította, minden hófehér volt. Ez a látvány meghökkentő, sőt talán félelemkeltő lehetett a vendégnek.
A családot a számukra megfelelő nagyságú és berendezésű otthonban szállásolták el. Igyekeztek a dolgokat úgy elrendezni, hogy minden megfeleljen a család, de különösen az ikrek szükségleteinek, kényelmének és biztonságának. Taslima a nap nagy részét az ikrekkel töltötte. Taslimáékkal lakott Ilcsik Mariann gyermek ápolónő is. Szakfeladatai mellett segített a kislányok szórakoztatásában. Sok mondókát, éneket tanított meg nekik, amelyeket a csöppségek lelkesen, idővel már magyarul énekeltek. A kisgyermekek is hamar megszerették őt és "mothernek" szólították. Velük volt legtöbbet Császár Zsuzsanna is. Taslimát, Rafikult, és az ikrek nővérét, Rafiát Kakukné Lapis Krisztina vette gondjaiba. Igyekezett megismertetni velük az itteni világot, Budapestet, a magyar életformát, a szokásokat és a kultúrát. Elvitte őket pl. a Bazilikába, ahol ő karénekes volt. Megismertette velük ezt a gyönyörű templomot, festményeit, szobrait. Az édesanya, Taslima engedélyével Rafiát hazavitte magához, ahol összebarátkozott az ő kislányával. Néha még ott is aludt. Rafiát beíratták a Pető Intézet általános iskolájába, ahol jól érezte magát. Kezdett megtanulni magyarul. Kiejtése akcentusmentes volt. Egy idő után az Édesapa maga vitte a kislányt iskolába. Megtanult önállóan közlekedni úgy, mint az itt élő más külföldiek. A szülők nagyon fegyelmezetten és együttműködően viselkedtek. Udvariasan, szerényen közölték esetleges kéréseiket, pl. az élelmezéssel kapcsolatban. Jobban szerették ugyanis maguk elkészíteni ételeiket, mint az itt főzötteket fogyasztani.
A beilleszkedés tehát jól sikerült. Minderre szükség is volt, mert időközben megindultak a második fázis teendői. Ebben a Semmelweis Egyetem volt az Alapítvány segítője. Készségesen bocsátott rendelkezésükre minden szükségeset. Az akciót együttérzően támogatta Merkely Béla rektor is.
A második fázis első feladata volt az ikrek komplex kivizsgálása, amely nemcsak az itt tervezett expander beültetés, de a végső szétválasztás mérlegelése szempontjából is döntő volt. A minden irányú képalkotó vizsgálat mellett elvégezték a bel-, a gyermekgyógyászati, a fül-orr-gégészeti, a szemészeti, a sebészeti, neurológiai, s a pszichológiai kivizsgálást is. Mindezek alapján az volt a véleményük, hogy az ikerpár alkalmas a beültetés elvégzésére, majd a szétválasztó műtétre.
Az MRI leletek alapján traktográfiás elemzés is történt (5. ábra). Ennek lényege, hogy a vízmolekulák mozgása az idegrostok lefutása irányában történik, így MRI segítségével lehetővé válik az ideg-rosthálózat képalkotó vizsgálata. E célból 3D nyomtatásos modelleket is készítettek. A vizsgálat célja volt kideríteni, hogy a két agy összenövése helyén, az interthalamikus híd átvágása esetén, milyen károsodásra számíthatnak. Több konzílium alapján Csókay véleménye az volt, hogy extrapyramidális mozgászavar várható, amely azonban későbbi mozgásterápiával javítható lesz.

6/a,b. ábra.
3D nyomtatott modellek.
Elkészítették a teljes agyak 3D modelljét is, amelyen az idegsebészek gyakorolhatták a szétválasztó műtétet. Más modelleken, - s ez a plasztikai sebészek későbbi segítségére volt-, a megnövelt koponyabőr megfelelő lebenyekre lett osztva, amelyekkel szimulálhatták, hogy a növesztett bőr tényleg befedi-e majd mindkét koponyadefektust (6/ a-b. ábra).
A legnagyobb figyelem természetesen a következő fázis lényegére, a megfelelő implantatumok beszerzésére és beültetésének módjára irányult. (Nem tárgyaljuk részletesen azt a komoly problémát, amit az alkalmas implantatumok megtervezése, elkészítése és beszerzése jelentett). Itt csak annyit említünk, hogy a tervezést Pataki Gergely irányításával magyar plasztikai sebészek végezték Czeibert Kálmán nélkülözhetetlen segítségével. Tehát itt is magyar nóvumról van szó. Komoly feladat volt, hogy a kis felszínű koponyán lévő kevés szabad hely miatt, hol lehet elhelyezni az expandereket. Itt ismét sokat segített a 3D modellezés. Amikor ezt megoldották, arról is meg kellett győződniük, hogy az expandereket a kellő méretűre fel lehet majd tágítani a majdani koponyadefektus fedéséhez szükséges bőrmennyiség megnövesztése érdekében. A térmodellezés ennek tanulmányozására is megfelelő segítség volt. Ilyen sem volt még korábban sziámi ikrek műtétének tervezésében.

7/a,b. ábra.
A hazai tervezésű occipitalis szövettágító behelyezése endoszkóposan asszisztáltan, minimál invazív módszerekkel.
Mindezek után 2019 január 25.-én, Pataki vezetésével az Alapítvány és az Egyetem orvosai a Semmelweis Egyetemen elvégezték az expanderek beültetését. A műtőben sokan voltak, hiszen pl. két altató team kellett. Ez az alkalom, az aznapra tervezett műtét mellett, előtanulmány is volt a következő, döntő szétválasztási műtéthez. Több, akkor is szükséges gyakorlati, szervezési intézkedés kipróbálására nyílt lehetőségük (7/a-b. ábra).
A szövettágítók beültetését a koponya bőre alá, a csonthártya fölé Pataki Gergely végezte endoszkópos módszerrel, egészen apró sebzésekből, amelyek kis heggel gyógyultak. A műtét során sajátzsír beültetés is történt az expanderek egyes veszélyeztetett széli részeinek kipárnázására, takarására. A saját zsírszövetből mesenchymális őssejteket is bankoltak esetleges későbbi regeneratív műtéti lépések elősegítésére. Ez a látszólag egyszerű beavatkozás mégsem volt olyan könnyű, mintegy hat óráig tartott. A kis betegek remekül viselték ezt a megpróbáltatást is. A gyógyító team jelen lévő vezetői megelégedéssel állapították meg, hogy a műtét szervezési szempontból is jól sikerült.

8. ábra.
Az ikrek sebeinek kezelése.
E műtét szakszerű posztoperatív utókezelése rendkívül fontos volt a hegesedés megelőzése és az esetleges infekció elkerülése szempontjából. Fertőzött idegentestekkel nem lehetett volna tágító bőrnövelést végezni. Az expanderek esetleges cseréje viszont a bőrtágítást eleve veszélyeztette volna, és felborítva a műtétsorozat menetrendjét. Pedig már így is némi késésben voltak. A korábbi tapasztalatok szerint ugyanis a szétválasztás kilátásai annál jobbak, minél fiatalabb korban kerül rá sor. A bangladesi ikrek pedig már közeledtek a 3 éves korukhoz. Speciális kötszerekkel és segédanyagokkal kezelték a műtéti sebzéseket. Azok rendben be is gyógyultak. Az expanderek bőr alá implantált portjai, amelyeken keresztül azok töltését végezték, locus minoris resistentiae-ként állandó fertőzésveszély helyei voltak. Hetente speciális hegkezelések dióda lézerrel és iPRF technikával (Injectable Platlet Rich Fibrinogén - Vénás vérből kinyert, vérlemezkékben és fehérvérsejtekben gazdag fibrin komplex visszatöltése hajas fejbőrön lévő hegekbe és azok mellé) (8. ábra).

9.ábra.
A három szilikon szövettágító és a koponyák 3D modellje.
Mindezek említésével kívánjuk hangsúlyozni, hogy bár a második fázis látszólag jelentéktelenebbnek tűnhet az első és különösen a majd a harmadik, heroikus, szétválasztó fázishoz képest, rendkívül fontos volt, amelyen megbukhatott volna az egész műtét-sorozat sikere.
A plasztikai csoport tagjai ennek tudatában dolgozva kezdték meg az expanderek folyadékkal való töltését, amit hetenként, vagy hetente többször ismételtek, hónapokon át, összesen 44 alkalommal. Eközben az ikrek feje egyre nagyobb és nehezebb lett. 3600 ml folyadékot injektáltak az expanderekbe (9. ábra). Emiatt az ikrek mozgása nehézkesebbé, bizonytalanabbá vált. Pataki és kollégái vastag, turbánszerű kötéssel védték az ikrek fejét egy esetleges elesés következtében keletkezhető sérüléstől.
2019 júniusának végén a plasztikai csapat már úgy látta, hogy július végéig sikerülhet megnöveszteni a szükséges többlet bőrmennyiséget. Ekkor már ki lehetett mondani, hogy sikerülhet a koponyákon, kisgyermekeknél mindezidáig példa nélküli méretű szövettágítást elérni. A második fázis is sikeresen véget ért.
Vége az I. résznek
DR. BARTOS GÁBOR†
Érbetegségek: 2024/4. 146-152. oldal

